什么|教你从肺CT上分辨是哪种细菌感染丨肺炎克雷伯杆菌篇( 二 )
比如上面的患者 , 假如了解肺炎克雷伯杆菌的特点 , 至少 , 初始治疗就不用广泛地使用抗生素 , 从而实现现在很流行的精准治疗 。
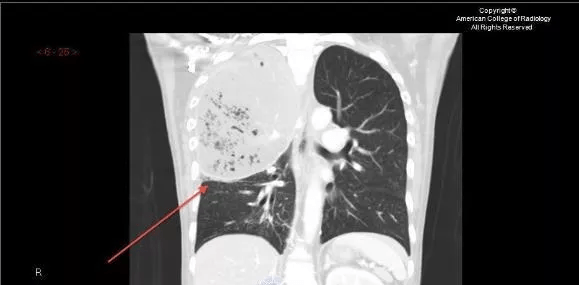
最后 , 再来回望一下 , 什么是叶间裂下坠 。

文章图片

文章图片
图10-11
肺炎克雷伯杆菌 , 你就膨胀吧!

文章图片
文末温馨提示:将本文转发给更多需要的人~
参考文献:
[1]李春娜,胡越凯,邵凌云,黄玉仙,张文宏,翁心华,金嘉琳.肺炎克雷伯菌致肝脓肿侵袭综合征3例临床分析及文献复习[J].微生物与感染,2016,11(4):247-251.
[2]张春生, 李学军, 邰韩珍,等. 克雷伯杆菌肺炎的影像探讨(附89例分析)[J]. 影像诊断与介入放射学, 2007, 16(6):261-263.
来源: 医学界影像诊断与介入频道
【什么|教你从肺CT上分辨是哪种细菌感染丨肺炎克雷伯杆菌篇】【版权声明】本平台属公益学习平台 , 转载系出于传递更多学习信息之目的 , 且已标明作者和出处 , 如不希望被传播的老师可与我们联系删除
- 喝牛奶|为什么不建议女性天天喝牛奶?提醒:喝牛奶牢记4点,更营养
- 肺炎|遵义120教你肺炎伴胸膜炎怎么办
- 运动解剖学|报考瑜伽教练证要什么条件呢?
- 范可尼|为什么会长白头发?
- 随着健康意识的提高|什么时间吃降糖药效果更好?10类常见降糖药,服用时间各不同
- 饮食习惯|头晕,走路不稳是怎么回事?与什么原因有关?建议了解
- 克星|颈椎病的克星:聊聊颈椎那些事,让颈椎病从此和你说拜拜!
- 牛奶法|失眠痛苦不堪,教你3种办法,远离失眠,让你好眠无烦恼!
- 鼻涕|鼻炎为什么难以根治?对于鼻炎,我与它势不两立
- 吃辣|全国痔疮地图发布:不爱吃辣的广东人为什么排第二?
