什么|教你从肺CT上分辨是哪种细菌感染丨肺炎克雷伯杆菌篇
教你从肺CT上分辨是哪种细菌感染丨肺炎克雷伯杆菌篇
这位细菌 , 你很膨胀嘛!
肺CT装酷很不容易 , CT看细菌难于上青天 , 但是 , 有时候 , 还是有很多蛛丝马迹的 。
点击阅读上期:教你从肺CT上分辨是哪种细菌感染丨葡萄球菌肺炎篇
下面介绍一个我管过的患者 。
青年男性 , 高热4天 。
患者4天前无明显诱因出现发热 , 体温最高40.0℃ , 多波动于39.5℃-40.0℃之间 , 无畏寒及寒战 , 伴乏力、纳差 , 头昏、头痛 , 恶心、呕吐 , 吐胃内容物数次 , 为黄色胃液 , 无咳嗽、咳痰、咯血 , 无胸痛 , 无呼吸困难 。 病程中患者精神、睡眠、饮食差 。
血常规:白细胞明显升高 , 中性为主;血小板比容(PCT)、C-反应蛋白(CRP)均升高 。

文章图片

文章图片

文章图片

文章图片

文章图片

文章图片
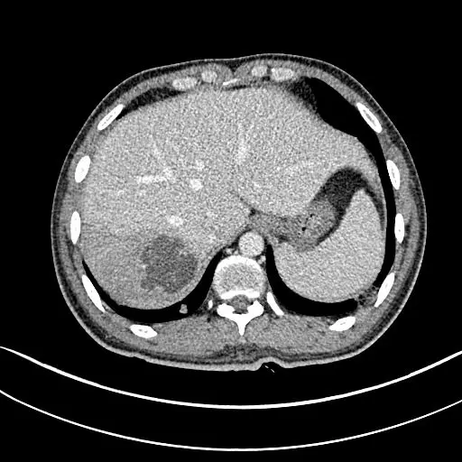
图1-5
诊断考虑什么?金葡菌?曲霉菌?毛霉菌?血管炎?寄生虫?其他?
CT:双肺多发空洞、气囊、结节 , 病灶以胸膜下为主 , 见实变 , 胸腔积液 。 肝脓肿 。
CT也提示脓毒肺栓塞!金葡菌?
这个患者的特点是 肺空洞、肝脓肿!肝脓肿的存在 , 大大缩小了诊断范围 , 缩小了细菌范围!肺CT提示脓毒肺栓塞 , 并且同时存在肝脓肿 , 绝大多数都是肺炎克雷伯杆菌 , 不是金葡菌 , 真菌更是少见!
肺炎克雷伯杆菌
肺炎克雷伯菌是引起肝脓肿的最常见病原体 , 以前的报道 , 肺炎克雷伯菌性 肝脓肿很少有肝外侵袭 , 但是 , 近些年发现 , 肺炎克雷伯杆菌 , 很容易导致 肝脓肿侵袭综合征:细菌全身多部位播散 ,肺、神经系统和眼是最常见的侵袭部位 。

文章图片
图6
送检脓液培养出:肺炎克雷伯菌 。 抗感染 , 肝脓肿穿刺引流 , 病情唰唰地好转 。
再来一例!
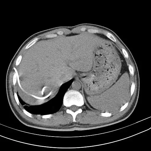
患者急性起病 , 发热、咳嗽、咳痰、痰液粘稠 。

文章图片

文章图片
图7-8
你将如何诊断?
图9
肺炎克雷伯杆菌 , 是肺炎常见细菌 , 典型的影像学表现是 叶间裂下坠 。 什么是叶间裂下坠?书上只有文字 , 我也可以意会到 , 然而画面很模糊 。 多年以后 , 我才突然秒懂!
感谢北京丰台医院放射科张春生等提供的精彩文献!我是查了N篇文献才找到的沧海一粟!
叶间裂下坠 , 从CT上看 , 就感染的肺组织膨胀了!
肺炎克雷伯杆菌 , 就是这么骄傲的细菌 , 非常喜欢自我膨胀!控制不住的自我膨胀!

文章图片
今天你自我膨胀了吗?
肺炎克雷伯杆菌 , 祝你膨胀 , 这样我们就可以早点把你从革命队伍中揪出来!
一般情况下 , 克雷伯杆菌肺炎的影像学表现与其他细菌性肺炎相似, 仅根据影像鉴别相当的诊断困难 。 但是 , 知道其特点 , 才能发现典型的患者 , 有时候可以更好地早期诊断 , 减少抗生素滥用 , 为人民服务!
- 喝牛奶|为什么不建议女性天天喝牛奶?提醒:喝牛奶牢记4点,更营养
- 肺炎|遵义120教你肺炎伴胸膜炎怎么办
- 运动解剖学|报考瑜伽教练证要什么条件呢?
- 范可尼|为什么会长白头发?
- 随着健康意识的提高|什么时间吃降糖药效果更好?10类常见降糖药,服用时间各不同
- 饮食习惯|头晕,走路不稳是怎么回事?与什么原因有关?建议了解
- 克星|颈椎病的克星:聊聊颈椎那些事,让颈椎病从此和你说拜拜!
- 牛奶法|失眠痛苦不堪,教你3种办法,远离失眠,让你好眠无烦恼!
- 鼻涕|鼻炎为什么难以根治?对于鼻炎,我与它势不两立
- 吃辣|全国痔疮地图发布:不爱吃辣的广东人为什么排第二?
