二手烟|肺结节为什么越来越多,发现后怎么办?生活上应该注意什么?
近年来,大家可能都有发现,自己身边有肺结节的人是越来越多,经常能够看到或者听到自己身边的亲人或者朋友查出了肺小结节,而事实上,大数据统计也显示,体检查出肺结节的人是越来越多,那么这是什么原因造成的呢?发现肺结节我们又应该怎么办?生活中需要注意什么呢?今天刘医生给大家讲讲肺结节的相关知识。

文章插图
一、为什么现在肺结节的人越来越多?
之所以现在很多人都有肺结节,刘医生认为有以下几点原因:
1、大家体检意识的增强。
以前的时候,大家由于生活水平有限,并没有积极体检的意识,但是随着最近十多年大家生活水平越来越高,生活条件越来越好,大家的健康意识也开始增强,有了自主体检的意识,体检的人越来越多,自然而然的,很多以前没有发现的肺结节也被发现了,所以这是肺结节越来越多的第一个原因。

文章插图
2、胸部CT以及AI(人工智能)技术的广泛应用。
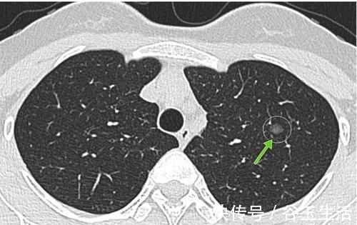
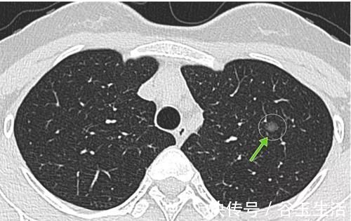
在十多年以前,大部分人体检的时候对于肺部的检查一般都是做一个胸部X光片,那么胸片检查得到的图像它是二维图像,它在显示咱们肺部的时候,是有很多重叠的,所以对于很多肺部的小病灶,特别是肺部小结节,是没有办法发现的,也就是会出现很多的漏诊;而现在大部分人体检都是直接选择胸部CT检查筛查肺部疾病,特别是对于40岁以上的人群,医生一般都会建议直接做CT检查,而咱们CT检查属于三维断层成像,它能够非常清晰地显示肺内病灶,不会像胸片那样有重叠,所以对于肺内很小的病灶都能够及时的发现,特别是对于咱们的肺部小结节,往往在胸片上没有显示,但是做CT就能够看到。
另外就是现在很多医院都开始使用AI(人工智能)技术来筛查肺部小结节,那么更能够对肺部一些非常微小的病灶做出准确的诊断,而事实上,很多AI技术发现的微小结节并没有太多临床意义的,所以这也是现在为什么肺结节越来越多的原因。

文章插图
3、空气污染、吸烟以及二手烟的危害。
随着现在工业化,空气质量相比于以前自然要差很多,大量的空气污染让我们吸入肺内的空气有很多的微小有害物质,这些有害物质沉积在肺部,造成了肺结节的形成;另外,吸烟对于我们肺部的危害也是非常大的,长期吸烟让我们的肺组织受到一定的损伤,让肺结节更容易形成,而二手烟的危害同样巨大,所以如果身边有吸烟的人群,也要尽量劝其戒烟。

文章插图
所以上面这些原因造成了现在发现肺结节的人是越来越多,身边几乎都有亲戚或者朋友肺部有小结节。
二、体检发现了肺小结节应该怎么办?
发现肺小结节后应该怎么办?这是有肺结节的人最关心的一个问题。在这里刘医生首先要告诉大家,发现后一定不要过度恐慌,因为大部分体检发现的肺小结节其实都是良性的,并不需要进行特殊的治疗,最后真正恶变成为早期肺癌的,只有不到10%的小结节,所以大家心态一定要放好。一般来说,肺部小结节我们都没有办法直接就确定他的良恶性,我们需要做的就是做好随访观察,也就是定期复查,观察结节有没有变化。
如果复查没有变化,那么可以继续随访观察,定期复查;如果随访复查过程中,肺结节出现了增大或者实性成分的增多,那么这个时候就要高度警惕存在恶性的可能,这个时候就需要及时的进行治疗了。
- 肺炎|遵义120教你肺炎伴胸膜炎怎么办
- 心脑血管|大荔中医医院脾胃肺病科“妙手回春”受到患者的称赞
- 小儿咳嗽可不都是肺热?小儿咳嗽也分好多种,你知道吗
- 问题|常年抽烟没异常,戒烟后却浑身难受,怎么回事?医生说出了原因!
- 领导|邵阳召开强化新冠肺炎定点救治医院管理工作视频会议
- 报告|16日15时-24时,珠海新增3例新冠肺炎确诊病例,详情公布
- 在如烟的往事回忆里|洪江酸萝卜的味道是怎样的?
- 防控|【北京疾控提醒您】关于本市海淀区新冠肺炎确诊病例的溯源情况通报
- 感染者|地坛医院在院新冠肺炎患者15例,其中奥密克戎感染者6例
- 珠海|广东珠海新增2例新冠肺炎确诊病例 将启动连续三轮全员核酸检测
