肝脏|为何中国脑梗越来越多,美国却在逐渐减少?四个原因暴露真相

文章图片

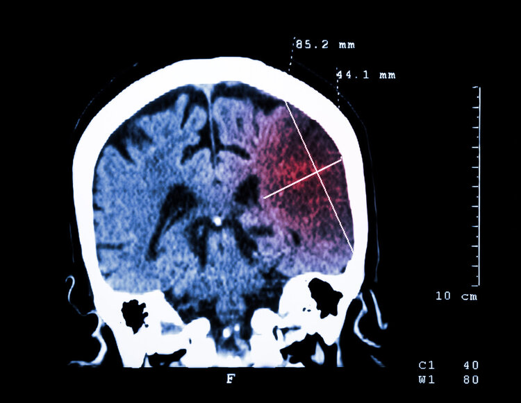
文章图片

报告指出 , 在2016年的1370万脑卒中新发病例中 , 中国占555万例 , 成为全球卒中发病人数最多的国家 。
《中国脑卒中防治报告(2015)》数据显示 , 我国40岁以上人群有15%的人面临脑卒中高风险 , 发病率不断上升 , 高达354例/10万人 , 且有年轻化趋势 。
而在欧美国家 , 脑卒中的发病率正在呈下降趋势 , 其中 , 美国的脑卒中发病率在上世纪就开始有下降趋势 。
?图源:医学界
一、为什么中国的脑梗发病率这么高?
很多人可能会不解:明明美国的肥胖率更高 , 而且喜欢吃牛肉等红肉 , 为什么脑卒中概率却在下降 , 我国在上升?
全球疾病负担研究报告指出 , 脑卒中有10大危险因素 , 包括高收缩压、饮食因素、吸烟、高胆固醇、空气污染、高空腹血糖、高BMI、运动不足、酒精/药物滥用、肾功能受损 。
?图源:医学界
不过 , 不同国家的生活方式、饮食习惯不一样 , 所以危险因素有所差别 。 在中国卒中的综述中 , 中国人脑卒中的危险因素包括:血压、血脂异常、糖尿病、吸烟、饮酒、空气污染、水果和蔬菜摄入量低、钠摄入量高 。
其中 , 高血压是最重要的危险因素 。
在我国 , 高血压的发病人数庞大 , 但控制率只有20% 。 此外 , 吸烟喝酒也是重要危险因素之一 , 直接导致我国南北方的脑卒中患病差异 。 此外 , 传统的北方饮食以精制谷物和盐渍蔬菜为主 , 盐分超标 , 也会增加脑卒中风险 。
?
还有一个原因是亚洲人的基因突变 。 研究发现 , 亚洲人T基因突变会使叶酸代谢异常 , 升高同型半胱氨酸(HCY)的水平 , 而且吸烟、喝酒、熬夜等生活方式会加速HCY水平升高 , 进一步导致脑卒中 。
二、预防脑梗补叶酸的必要性
很多对叶酸有误解 , 认为“是孕妇才吃的东西” 。 其实 , 普通百姓补充叶酸的好处也不少 , 比如降低卒中风险 。
发表在《柳叶刀-营养学》的综述指出 , 合理补充叶酸可以降低HCY水平 , 有效减少卒中风险 。
根据NEJM的统计报告 , 在过去10年里 , 美国政府强制补充叶酸的措施 , 使卒中发病率大大下降 , 成效明显 。 但在我国 , 许多人没有认识到叶酸的重要性 , 以为叶酸是孕妇的专用补充剂 。
?那么 , 我们应该如何补充叶酸呢?天然叶酸广泛存在于动植物食品中 , 通过日常的饮食 , 也可以补充叶酸 。
·蔬菜:南瓜、胡萝卜、西红柿、菠菜、莴苣、小白菜等;
·水果:草莓、葡萄、橘子、苹果、杨梅、山楂等;
·动物食品:猪肝、牛肉、羊肉、鸡肉、蛋类等;
·豆类和坚果:黄豆、核桃、腰果、杏仁、松子等;
·谷物类:大麦、糙米、米糠、全麦面粉等 。
三、预防脑梗除了多吃叶酸 , 这点也很重要
随着年龄增长 , 50岁以上人群的颈动脉狭窄发病率高达35-50% , 而有20-30%的脑梗发病与颅外端颈动脉狭窄有关 。
人体有两条供应脑部的血管 , 一条是颈动脉 , 一条是椎动脉 , 其中约2/3的血液由颈动脉供给 。 当由于各种原因出现动脉硬化 , 使颈动脉逐渐狭窄的时候 , 就会导致大脑供血不足 。
颈动脉狭窄的早期症状不明显 , 随着病情的进展 , 脑部供血越来越少或颈动脉粥样硬化小斑块脱落 , 患者可能会出现短暂性脑缺血发作 , 也就是小卒中 , 具体表现为一侧肢体麻木、浑身无力、行动不便、言语模糊、视物不清、口角歪斜等 。
- 相关|【中国实用外科杂志】肥胖代谢病合并甲状腺癌外科治疗中国专家共识(2021版)
- 中国雄安官网1月14日电(李元闯)在雄安新区安新县|家乡雄安丨杨宏记:村民致富路上的“带头人”
- 肝脏|喜欢喝酒的人,身体有7个“异常”,酒精肝或许来报道了,需重视
- 肝脏|男人50岁后,身体若是发出5个信号,或许是肝病正在“敲门”
- 春节是中国人心中最重要的传统节日之一|椒盐皮皮虾的做法,外酥里嫩,咸香入味,寓意着大富大贵
- 肝脏|寿命长短,走路先知?走路有什么样的表现,寿命会比较长?
- 双下肢|中国家长最喜欢的兴趣班,却没人提醒你它有多危险!
- 肝脏|5种给肝脏“减寿”习惯,你占几个?以后要注意了
- 生活质量|中国援建考斯玛中柬友谊医院将启用
- 来源:西安日报...|叮!中国疾控的寒假健康提示来了,家长请查收
