听神经|男子眼皮底下一直跳,到医院一查:结果惊出冷汗
面肌痉挛、听神经瘤、癫痫、神经脊柱疾病 , 这4种疾病是神经外科较为常见的疾病 , 没想到竟会同时出现在一位年轻患者的诊断报告上 。
近日 ,
【听神经|男子眼皮底下一直跳,到医院一查:结果惊出冷汗】广东省第二人民医院
(以下简称“省二医”)
神经外科接诊一位36岁的男子 ,
一开始 ,
患者只是专程到该院神经外科主任、
主任医师张勇的门诊来治疗面肌痉挛 。
没想到在后续的检查中 ,
才发现病情远不止
面肌痉挛这么简单……
面肌痉挛检查
发现“绿豆”大小肿瘤
“5年前 , 我眼皮底下开始抽搐 , 今年感觉抽搐频繁 , 听朋友介绍 , 张主任您这里治疗面肌痉挛效果很好 , 看看我能不能治好 。 ”几个月前 , 省二医神经外科诊室 , 宋先生断断续续地向神经外科主任、主任医师张勇介绍自己的情况 。
文章图片
(视频截图)
张勇回忆道 , 患者来门诊时 , 说话语速有点慢 , 走路有点痛苦 , 特别是做肌电图检查时 , 上床非常艰难 。 一问才知道 , 原来是前些天癫痫发作 , 摔了一跤 。
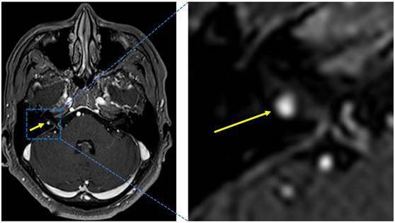
患者以面肌痉挛收治入院 , 没想到在完善相关检查的时候 , 医生发现了新的问题 。 张勇介绍 , “检查结果显示 , 宋先生的腰1椎体有新鲜的骨折 , 头颅MRA发现了一个仅3mm的听神经瘤 , 就像‘绿豆’一样的大小 。 ”
文章图片
术前颅脑MRI(黄色箭头显示为听神经瘤) 。 通讯员供图
张勇马上组织神经外科颅神经专业、癫痫专业、脊柱专业组进行会诊讨论 。 神经脊柱组副主任医师罗唯师表示 , 患者骨折已经有20天 , 现阶段适合止痛、卧床等保守治疗;癫痫组主任医师胡湘蜀认为 , 患者癫痫比较稳定 , 改善睡眠、规律服药的情况下是可以控制的 。
根据专家会诊 , 张勇制定了面肌痉挛手术方案 , “目前腰椎骨折是首要解决的急症 , 骨折疼痛影响睡眠不利于癫痫的控制 , 再者腰椎骨折患者不适宜行手术的侧卧体位 , 两个月后再进行手术 。 ”
黑科技加持
一次手术治愈两个疾病
两个月一晃而过 , 宋先生来到省二医神经外科准备面肌痉挛手术治疗 。 宋先生向医生提出自己的希望 , “治疗面肌痉挛的同时 , 能不能把听神经瘤也切掉 , 我不想等到面瘫、耳聋后才治疗 , 又多几个病 。 ”
手术团队听到这个要求愣了一下 , 虽然对于面神经微血管减压术已轻车熟路 , 但由于听神经瘤位于内听道深处 , 同时处理累及面、听神经两个疾病 , 需要力保听力、面神经功能不损伤 , 难度陡然升级 。 手术团队经过讨论分析 , 最终决定遵循宋先生的意愿 , 同时解决两处疾病 , 争取让病人有更好的治疗效果 。
文章图片
切除的肿瘤 。 通讯员供图
手术中 , 省二医神经外科使用现已应用目前世界上先进的术中听神经监测技术“耳蜗电图与ABR电位进行联合监测保护听神经” , 同时结合已纯熟常规开展的面神经、临近三叉神经、动眼神经等监测技术 , 为这台高难度的“面神经微血管减压+听神经瘤切除术”保驾护航 。 手术圆满完成 , 术后宋先生的面部抽搐消失 , 肿瘤全切 , 面神经功能及听力正常 。
- 小林|男子一晚呼吸暂停176次?睡觉打鼾并非好事,背后或与这3件事有关
- 杭州男子总是“想女友”,竟是因为大脑……
- 男子|一斤白酒+12颗头孢,男子边淌汗边拔针:我没事,不用治!
- 甲亢|男子深夜突发心梗,险些离世!所有的突如其来,都是蓄谋已久。
- 硬度|厦门男子肠胃不适,喝了段时间猪肚汤,结果更严重了!送医检查竟是……
- 杭州男子总是出现“愣神”,竟是因为大脑……
- 男子|气到中毒?男子与女友吵架,吵到四肢僵硬倒地、双手痉挛、呼吸困难…...
- 男子1斤白酒+12粒头孢,没有发生双硫仑样反应,医生大惑不解
- 小林|男子抱怨天天睡醒“跟没睡一样”…医生:警惕,严重可猝死!
- 浙大一院|男子反复肠梗阻20年,一查原来是“双肠人”,肠子长期黏连结出个“茧”
