
长江日报大武汉客户端9月5日讯(记者武叶 通讯员陈梦圆)男子用红枣煲汤进补 , 没想到汤中小小的红枣却惹出大麻烦——尖锐的枣核刺穿患者小肠 , 导致肠道坏死 , 不得不切除部分小肠 。
“医生 , 快给我看看 , 肚子快疼死了!”9月4日凌晨 , 在武汉市第四医院急诊科内 , 64岁的张先生捂着肚子向医生求助 。 两天前 , 张先生腹部开始隐隐作痛 , 刚开始他并未在意 , 随着时间流逝 , 疼痛越来越剧烈 。 4日凌晨1时许 , 痛得满头大汗的张先生被家人送到武汉市第四医院就诊 。
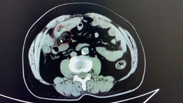
该院胃肠外科宋亚锋医生接诊后 , 为张先生进行了详细检查 , 发现患者小肠管壁水肿增厚 , 其中还有一个高密度影穿透了肠管管壁 , 抽血检查则显示张先生白细胞指标远超正常值 。 种种迹象表明 , 张先生可能不小心吞下了异物 , 并刺穿了小肠 , 导致出现穿孔、炎症 。
情况紧急 , 医生一边准备为其进行急诊手术 , 一边详细询问细节 。 “最近有没有不小心吞进去什么尖锐的东西?”面对医生的询问 , 张先生却答不出来了 。 原来 , 张先生全口假牙 , 平时吃东西感觉不太灵敏 , 判断不准是否吞入过异物 。 不过 , 他提及在发病前 , 曾喝过骨头汤 。
惹祸的枣核 。通讯员陈梦圆 摄
难道张先生不小心把骨头茬吞到肚子里了?手术探查发现 , 张先生小肠上确实有两个明显的破洞 , 肠道内的粪便、消化液也漏到腹腔 , 导致了腹腔感染 。 进一步检查发现 , 刺穿张先生肠道的并非骨头 , 而是一枚两头尖尖的枣核 。 医生为其切除破洞处大约7-8厘米的肠道 , 并反复冲洗污染的腹腔 , 手术顺利完成 。 目前张先生已转危为安 。
秋季既是枣子成熟的季节 , 也是市民朋友喝汤养生的季节 , 更是枣核卡进消化道的高发季节 。 “每年秋冬季都会遇到不少类似的病人 , 枣核、鸡骨头、鱼刺各种各样的异物都有发生 , 其中枣核最多 。 ”据宋亚锋医生介绍 , 枣核导致消化道肠穿孔的病人以老年人居多 , 且多在喝汤时不小心喝进去 。
宋亚锋医生表示 , 两头尖尖的枣核杀伤力不容小觑 , 从入嘴的那一刻就“步步惊心”:卡在咽喉 , 咽喉疼痛;经过食管 , 可能划伤食管甚至穿孔 , 累及附近的主动脉会引发大出血危及生命;经过胃、小肠等部位也会导致穿孔 , 尤其是小肠穿孔后 , 肠道内容物漏到腹腔会诱发感染甚至休克;即使到了最后的终点——肛门 , 也可能卡住 。
【安神|一颗红枣下肚,老人痛失一段小肠】宋亚锋医生提醒 , 食用枣子要注意细嚼慢咽 , 尤其是喝含有红枣的汤、粥时要十分注意 , 佩戴假牙人群、吞咽反射功能较差的儿童、老人等最好用剔核的红枣煲汤 。 一旦怀疑自己误吞枣核等尖锐物体 , 成年人如果没有症状可以先观察大便 。 通常来说 , 大便排出的间隔时间是36—72小时 。 观察周期内不要乱跑 , 确保自己能及时获得医疗服务 。 如果误吞异物后的1—3天还没有排出 , 应该到医院就诊进行相关检查 。 如果是老人、儿童、孕妇等特殊人群 , 不管有没有症状 , 都建议前往医院检查 , 听取专科医生意见 , 不要自行吞服饭团、馒头、韭菜等食物 。
【编辑:余丽娜】
更多精彩内容 , 请在各大应用市场下载“大武汉”客户端 。
- 昆明市西山区团结鑫庄园:用一颗苹果描绘乡村振兴图景
- 红枣|餐桌上的药务?藕
- 今日白露:推荐一道养肺润燥的佳肴——百合沙参红枣炖老鸭
- 一颗火锅丸子添加剂竟有二三十种!售卖者不会让儿女吃
- 27岁网红患皮肤癌去世!9年前的一颗痣,去医院检查时已成大麻烦
- 一颗小小VC欧美垄断50年,中国是如何反杀拿下世界90%市场
- 红枣|一颗红枣下肚 老人痛失部分小肠
- 一颗枣子的甜蜜之旅
- 入秋后,多给家人做它,补益心血,养心安神,简单易做还下饭
- 红豆|补血别只会吃红枣,这6样食物效果更佳,适合秋季吃,别再错过了
