
记者贺健峰 , 通讯员陈梦圆
秋季是脆甜大枣上市的季节 , 也是武汉市民喝汤进补的季节 。 近日 , 武汉的张先生在家喝汤进补 , 没想到汤中小小的红枣却惹出大麻烦——尖锐的枣核刺穿小肠 , 导致肠道坏死 , 不得不切除部分小肠 。
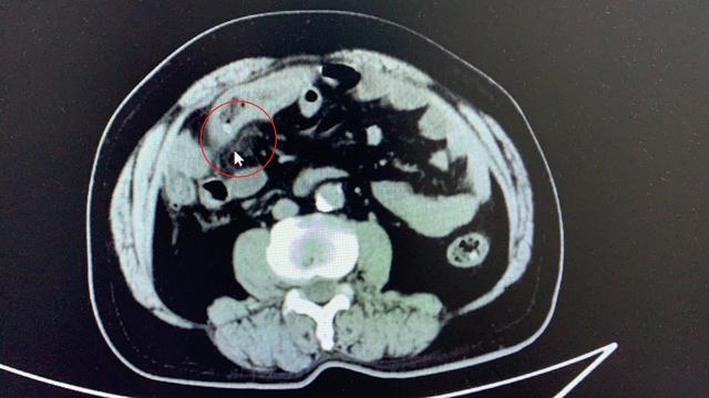
【红枣|一颗红枣下肚 老人痛失部分小肠】“医生 , 快给我看看 , 我肚子快疼死了” , 4日凌晨 , 在武汉市第四医院急诊科内 , 64岁的张先生捂着肚子向医生求助 。 2天前 , 张先生腹部开始隐隐作痛 , 刚开始张先生并未在意 , 随着时间流逝 , 疼痛越来越剧烈 。 凌晨1点多 , 痛的满头大汗的张先生被家人送到武汉市第四医院就诊 。 该院胃肠外科宋亚锋医生接诊后 , 详细询问了张先生病情 , 并为其进行相关检查 。 CT检查显示 , 张先生右中腹部医生发现张先生小肠管壁水肿增厚 , 其中还有一个高密度影 , 穿透了肠管管壁 。 张先生出现发烧症状 , 抽血检查也显示张先生白细胞高达2万多 , 远超正常值 。 种种迹象都表明张先生可能不小心吞下了异物 , 并刺穿了小肠 , 导致穿孔、炎症 。
怀疑章先生可能是被异物刺穿消化道 , 医生一边准备为其进行急诊手术 , 一边详细询问细节 。 “最近有没有不小心吞进去什么尖锐的东西?”面对医生的询问 , 张先生却答不出来了 。 原来张先生全口假牙 , 平时吃东西感觉不太灵敏 , 完全记不起来自己是否不慎吞过异物 。 但据张先生回忆 , 在发病前 , 他喝过骨头汤 。
难道张先生不小心把骨头茬吞到肚子里了?手术探查 , 医生发现张先生小肠上确实有两个明显的破洞 , 肠道内的粪便、消化液也漏到腹腔 , 导致了腹腔感染 。 进一步检查发现 , 刺穿张先生肠道的并非骨头 , 而是一枚两头尖尖的枣核 。 医生为其切除破洞处大约7-8厘米的肠道 , 并反复冲洗污染的腹腔 。 手术顺利完成 , 目前张先生已转危为安 。
秋季既是枣子成熟的季节 , 也是市民朋友们喝汤养生的季节 , 自然也到了枣核卡进消化道的高发季节 。 “每年秋冬季都会遇到不少类似的病人 , 枣核、鸡骨头、鱼刺各种各样的异物都有发生 , 枣核最多” , 据宋亚锋医生介绍 , 枣核导致消化道肠穿孔的病人老年人居多 , 且多在喝汤时不小心喝进去 。 宋亚锋医生表示 , 两头尖尖的枣核杀伤力不容小觑 , 从入嘴的那一刻就“步步惊心”:卡在咽喉 , 咽喉疼痛;经过食管 , 可能划伤食管甚至穿孔 , 累及附近的主动脉会引发大出血危及生命;经过胃、小肠等部位也会导致穿孔 , 尤其是小肠穿孔后 , 肠道内容物漏到腹腔会诱发感染甚至休克;即使到了最后的终点——肛门 , 也可能卡住 。
宋亚锋医生提醒 , 食用枣子要注意细嚼慢咽 , 尤其是喝含有红枣的汤、粥时要十分注意 , 佩戴假牙人群、吞咽反射功能较差的儿童、老人等最好用剔核的红枣煲汤 。 一旦怀疑自己误吞枣核等尖锐物体 , 成年人如果没有症状可以先观察大便 , 通常来说 , 大便排出的间隔时间是36~72小时 。 观察周期内不要乱跑 , 确保自己能及时获得医疗服务 。 如果误吞异物后的1~3天还没有排出 , 应该到医院就诊进行相关检查 。 如果是老人、儿童、孕妇等特殊人群 , 不管有没有症状 , 都建议前往医院检查 , 听取专科医生意见 , 不要自行吞服饭团、馒头、韭菜等食物 。
- 一颗枣子的甜蜜之旅
- 红豆|补血别只会吃红枣,这6样食物效果更佳,适合秋季吃,别再错过了
- 常吃红枣补气血,但你知道吃红枣的禁忌吗?吃错了不仅长胖还·
- 红枣|3种蔬菜被列入“致癌清单”,吃了易致癌?真正致癌的是这3种食物
- 视力近乎为零!男生靠一颗水晶球完成硕士学业 成为一名医生
- 牛皮癣|入睡难,睡觉易醒? 喝桂圆红枣茶
- 国内又一中药火了,一夜之间一颗药涨了80元,卖到国外一克仅13元
- “蔬菜栏一颗都没有”!核酸系统也崩了?这地疫情传播链超20条...
- 红枣|名老中医袁振斌医生巧治阴虚火旺,气血两虚型盗汗
- “养生达人”红枣,泡水真的会引起人体发胖吗?
