肿瘤|脑肿瘤挤占视神经致左眼几近失明,这个区域的良性瘤也伤眼
视力下降、看东西模糊 , 不少中老年人会认为是白内障 。 殊不知 , 也有可能是脑肿瘤压迫视神经导致 。 近日 , 广东一女子就因为一直误以为是白内障 , 直到左眼近乎失明才发现原来是脑肿瘤惹的祸 。
文章图片
新华社照片
红绿灯都看不清了 , 眼睛竟然没问题
大约从去年5月份开始 , 43岁的张晓(化名)左眼就像“起雾”一样 , 时常看不清 。 “很难受 , 不敢用手去揉 , 就用指甲轻轻地刮上眼皮 。 ”起初 , 她以为是体内上火 , 便不断调整自己的饮食 。 “不敢吃燥热的东西 , 还不停地滴眼药水 。 ”
近两个月来 , 张晓左眼看东西越来越模糊 。 不过 , 由于张晓妈妈之前得过白内障 , 症状与其相似 , 张晓便以为自己也是白内障 。 “听我妈说 , 等到看不清红绿灯时 , 白内障就‘熟’了 , 就可以去切掉白内障换人工晶体了 。 ”
文章图片
新华社照片
【肿瘤|脑肿瘤挤占视神经致左眼几近失明,这个区域的良性瘤也伤眼】6月底 , 张晓发现左眼已经完全看不清红绿灯了 , 便到附近眼科医院就诊 。 然而 , 医生却告知她 , 眼睛没有病变 。 进一步检查 , 张晓得知颅内有占位性病变 。 7月初 , 张晓辗转找到广东三九脑科医院 。
鸡蛋大肿瘤长在脑内 , 严重影像视力
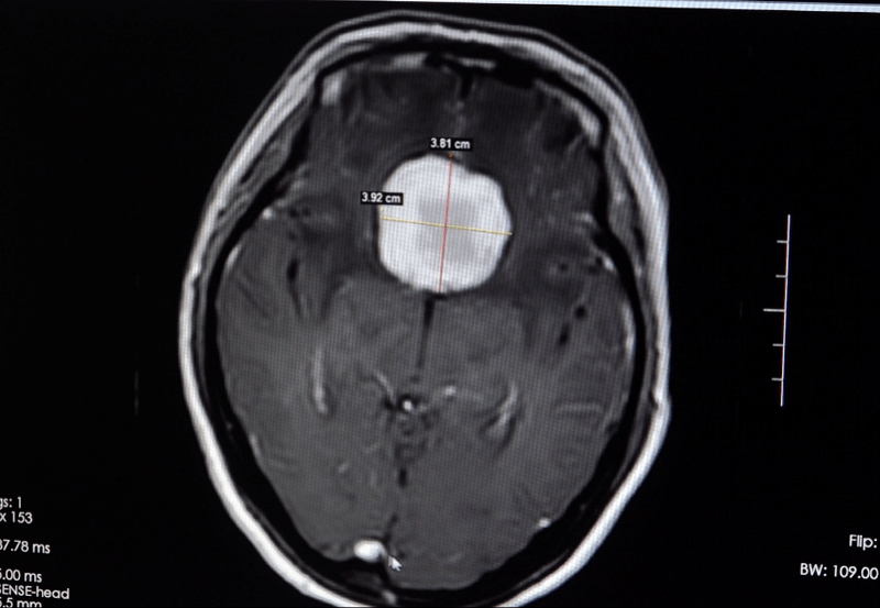
该院接诊的副院长鲁明仔细查看患者的影像资料 , 结合症状 , 认为是鞍区脑膜瘤的可能性较大 , 遂将患者收治入神经外五科 。 患者入院后 , 神经外五科主任欧阳辉教授组织全科进行认真讨论 , 反复研究手术方案 。 完善术前准备后 , 神经外五科团队为患者实施鞍区脑膜瘤切除术 , 顺利切除了一个41mmX37mmX27mm宛如鸡蛋大小的肿瘤 。
文章图片
鞍区或鞍区邻近的肿瘤可缓慢引起视力下降、眼球运动障碍 , 甚至眶额部麻木或疼痛 。
由于位于鞍区或鞍区邻近的肿瘤可缓慢引起视力下降、眼球运动障碍 , 甚至眶额部麻木或疼痛等 , 因此临床上 , 脑肿瘤压迫到大脑视觉神经 , 导致患者出现视力模糊等情况时有发生 。 如果得不到及时的治疗 , 严重时还可能会造成永久失明 。 万幸的是 , 术后给予脱水 , 预防感染及癫痫、营养神经等对症治疗后 , 张晓左眼的视力已逐渐恢复 , 并康复出院 。
“如果早些发现是脑肿瘤 , 也不至于快失明才接受治疗!”张晓提醒各位市民朋友 , 如果有出现视力下降视物模糊时 , 在排除眼科疾病后 , 一定要到神经外科进一步明确诊断 , 及时治疗 。
采写:南都采访人员 王道斌 实习生 叶影
通讯员 郑琳
- 脏腑|重庆肿瘤专科医院:中医帮你调和气血,平衡阴阳
- 心脑血管|大荔中医医院脾胃肺病科“妙手回春”受到患者的称赞
- 常崇旺|【视频回放】脑瘫患者常用外科术式及适应症
- 预防肿瘤|夜里温度下降孩子睡不好,多吃营养菜,补虚暖胃,提高抵抗力
- 致癌|十多种肿瘤与“吃”密切相关,看完请注意避开!
- 肿瘤|健康大讲堂丨肿瘤专家袁芃:乳腺癌病因尚不明确 防治重在“三早”
- 孩子每天上课不认真听讲成绩直线下滑,多吃益智菜,增长智力脑力
- 过年给孩子烧一盘美味,益智健脑、补充蛋白质,增强记忆力
- 香港|广州复大肿瘤医院案例966:香港胰腺癌患者赴广州就医重获新生
- 四肢|四肢发达,头脑简单?经常运动的人,大脑很快就受到这6个影响
