成像|【科室推荐】西安工会医院影像科( 二 )
我科开展了全脊柱成像、DTI、头颈部MRA/MRV、全身弥散DWI、MRS、心脏MRI、耳蜗重建成像等较前沿的检查项目 。
全脊柱MRI
文章图片
文章图片
脑功能成像
(DTI)
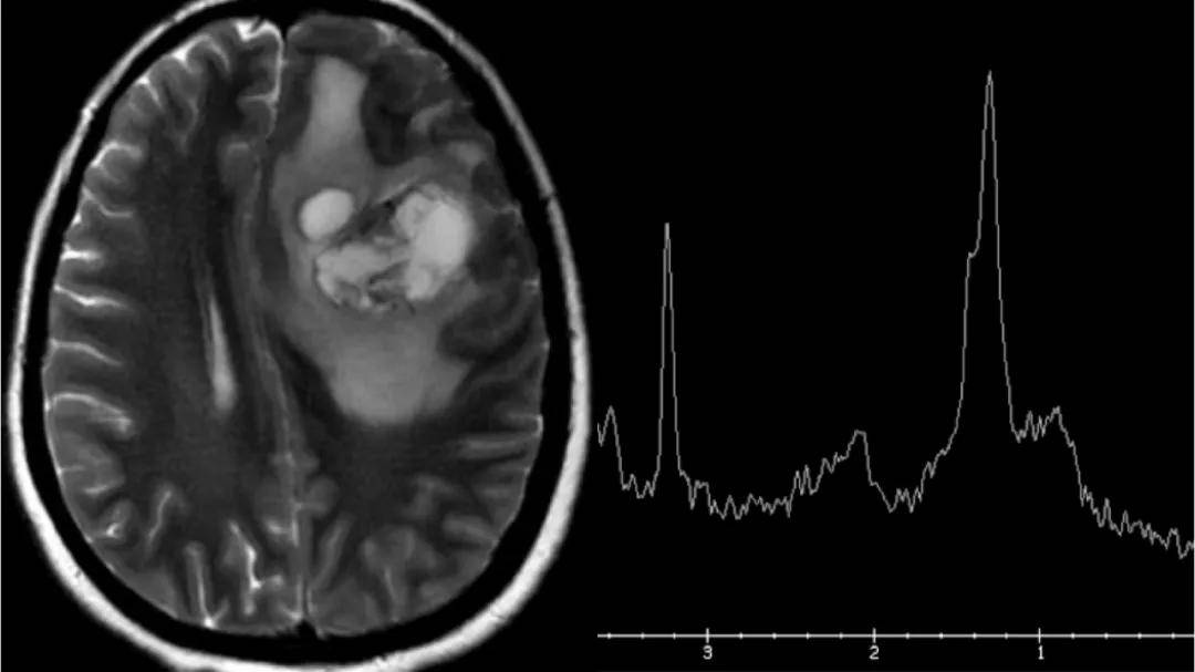
核磁波谱成像
文章图片
文章图片
头颈部血管(MRA)
耳蜗重建图像
文章图片
文章图片
心脏MRI
专家团队
文章图片
梁建伟
科室主任 , 副主任医师 , 先后在长安医院、唐城医院担任科室主任 。 擅长神经系统、呼吸系统及消化系统疾病的影像诊断 , 并参与多本著作的编写 , 在国内核心期刊发表论文数十篇 。
文章图片
刘平
主任医师 , 原红会医院影像科诊断医师 , 从事影像诊断工作30余年 , 拥有丰富的临床经验和影像诊断经验 。 擅长小儿疾病、呼吸系统疾病的影像诊断 。 发行著作数十本 , 发表论文数十篇 。
文章图片
张兴
主治医师 , 原西京医院放射科诊断医师;从事影像诊断工作10余年 , 擅长骨关节系统、神经系统及消化系统疾病的影像诊断 。 在核心期刊发表论文数篇 。
文章图片
扈洁
【成像|【科室推荐】西安工会医院影像科】主治医师 , 从事影像诊断工作十余年 , 擅长神经系统、呼吸系统及消化系统疾病的影像诊断 , 对疑难病例有独特的见解;在核心期刊发表论文数十篇 。
- 疫苗|【992 | 速看】传播能力有所增强!有关奥密克戎变异株,最新解答来了!
- 血压|主动脉夹层可夺命?这五类人是高危人群,需高度重视
- 肺炎|遵义120教你肺炎伴胸膜炎怎么办
- 公司|罗欣药业:子公司注射用美罗培南通过仿制药一致性评价
- 相关|【中国实用外科杂志】肥胖代谢病合并甲状腺癌外科治疗中国专家共识(2021版)
- 范可尼|为什么会长白头发?
- 常崇旺|【视频回放】脑瘫患者常用外科术式及适应症
- 深圳|广东新增本土确诊病例9例:深圳2例、珠海5例、中山1例、梅州1例
- 痛风也可吃火锅 但注意少吃肉食
- 领导|邵阳召开强化新冠肺炎定点救治医院管理工作视频会议
