病人
年龄
RHT
SWL 能量 SWL 强度 最大值(平均值)
治疗
合并症
1
71
8 × 5 cm 无症状
65.89 焦 3.5 (3)
监控 医院 7 天
秒/页 。 PNL(同侧 , SWL 前 4 周) , 高血压 , BPH , 甲状腺功能减退 , 肾细胞癌(对侧) , (pT1a , G2)
2
68
6 × 2 cm 无症状
92.56 日 4 (3)
监护 门诊
慢性疼痛综合征、CHD、COPD、肾硬化(对侧)、双 J 型支架(首次 SWL 前 2 天)
3
47
2.6 × 0.6 cm 无症状
94.79 日 4 (3)
监视 医院 2 天
SWL、高血压后的 s/p RHT
4
73
7.8 × 6.5 cm 延迟性腰痛
107.79 日 4 (3.5)
监护 门诊
s/p 肾造口术 + 双 J 型支架(SWL 前 2 天) , s/p 中风 , 癫痫
5
59
10 × 1 cm 腰痛
66.12 J 4 (2.6)
监视 医院 6 天
2型糖尿病 , 主动脉瘤
6
65
17 × 15 cm 腰痛
60.93 日 4 (2)
手术 医院11天
高血压、青光眼
7
43
8 × 10 cm 无症状
63.51 焦耳 3.5 (2.5)
监视 医院 6 天
高血压
表 1 7 例 RHT 患者的临床特征
在四名患者中 , 我们确认了无症状的 RHT (0.30 %) 。 在这些情况下 , RHT 是在超声检查期间偶然发现的 。 3 名患者 (0.23 %) 因 RHT 出现急性腰痛 。 两名患者在 SWL 期间开始出现症状 。 一名患者发病延迟 。 有症状的 RHT 的大小分别为 7.8 × 6.5 cm 到 17 × 15 cm , 无症状的 RHT 分别为 2.6 × 0.6 cm 到 10 × 8 cm 。
合并症
所有RHT患者均存在潜在的心血管疾病[4名患者因高血压接受药物治疗 , 1名既往有中风 , 1名患有糖尿病和小主动脉瘤 , 1名患有冠心病(表 1 ) 。
凝血状态和用药
所有 RHT 患者在 SWL 前的凝血状态均不显着 。 3 号患者在之前的 SWL 治疗疗程后有 RHT 病史 。 由于该患者已知的个体风险 , 在 SWL 之前进行了全面的实验室检查 , 在凝血状态方面没有发现异常 。 RHT 患者均未服用 ASA 。 根据 2009 年之前对低剂量 ASA 的一般管理 , 2 号患者确实在第一次 SWL 治疗前 10 天和最后一次 SWL 前 17 天暂停了 100 mg 低剂量 ASA 。 在治疗方案方面 , 在 RHT 病例中没有偏离我们的标准方法(表 1 ) 。
治疗间隔
患者 #2 在 7 天内进行了 3 次 SWL 治疗 。 1 号患者在 SWL 前 4 周进行了 PNL , 由于中盏中残留的结石碎片 , 随后进行了 PNL 。
临床表现
4 号患者在 SWL 后 8 天出现突然的腰痛和 RHT , 而最初的 24 小时超声检查并无异常 。 患者 #2 在最后一次 SWL 后 15 天的下一次肾结石常规随访中出现无症状 RTH 。
手术治疗
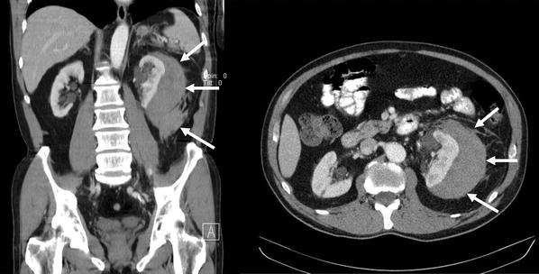
一名在 SWL 期间出现急性疼痛的患者(患者 #6)出现急性血红蛋白从正常水平下降至 9.0 g/dl 。 由于血压为 160/90 mmHg , 他在干预前接受了 10 mg 硝苯地平舌下注射 。 CT 扫描证实了 17 × 15 cm 的 RHT 包膜外延伸 , 没有活动性出血的直接迹象(图 2 ) 。 通过最初的保守方法 , 患者稳定下来 。 由于尽管使用了大剂量镇痛剂 , 但仍存在持续强烈且无法控制的疼痛 , 并且尽管使用了抗生素预防措施 , 但感染水平仍在增加 , 因此该患者在入院 5 天后接受了开放性腰椎血肿清除术 。 术中检查未发现活动性出血 。 RHT 几乎完全排空 , 部分完全脱膜的肾脏在止血垫的帮助下成功幸免 。 进一步的住院治疗很顺利 。
图 2

文章图片
6 号患者接受手术前 RHT 的 CT 扫描 。 用箭头标记的 RHT
- 治疗|?患肾病长期服用激素药易引起骨质疏松?
- 肾脏|红斑狼疮性肾病,多有3大典型症状,是多发于女性的常见疾病
- 治疗|【科普】乙肝患者孕育健康宝宝不是梦
- 防控|宁光:上海瑞金医院支持整个黄浦区封控区血透病人持续治疗
- 慢性萎缩性胃炎该如何治疗?慢性萎缩性胃炎你想知道的都在这里
- 认知|糖尿病肾病患者,或存在4个认知误区,需了解,才能控制病情
- 生活|肾开始衰竭,身体2处变黑,1处变圆,若都不占,说明尿毒症还远
- 时令|春食韭菜引发肾病,医生紧急提醒!
- 治疗|这种浮肿不同于一般肾病水肿,却异常危险!肾友需小心提防
- 分支|检出肾囊肿 不疼等于“良性”?
