肿块|结节是肿瘤吗?癌变的几率有多大?医生带您了解身上的凸起、肿块( 二 )
5、脖子
脖子部位出现明显凸起多数是甲状腺问题,尤其是甲状腺结节,已经成为近些年体检检查出来的最常见问题。不过,这种结节多为良性,一般不需要过度担心,但是,如果喉结两侧有明显突出,且活动性差、质地坚硬的,就要引起足够重视。

文章插图
我们正常人身上不可避免地会出现一些大小的“凸起”,像斑点、痣、瘤,一般情况下,他们都会安稳地伴随我们的一生,除了影响美观,多数并不会产生什么危害。但是,一旦出现形状器官的不常见的凸起,就要引起重视,防止错过癌症提示。
很多人判断疾病是否严重,往往根据痛感的强烈与否,但实际上肿瘤或者癌症并不是都会引发剧烈的疼痛,尤其是早期阶段,可能仅仅有肿块或凸起的变现,痛感并不强烈。如果在这个阶段错过治疗,病情持续下去,癌症持续浸润周边的组织,刺激神经,这时候才会出现较为剧烈的疼痛,此时,往往已经错过了治疗的最佳时机。
结节是癌吗?癌变的几率有多大?
说到人体的凸起,不得不提的就是“结节”的问题。我们日常最不陌生的就是甲状腺结节、肺结节,那结节到底是什么病?是癌症吗?
实际上,人体长结节的部位非常多,只要体检的时候发现了身体某个部位出现了小团块,一般都会被列为结节的行列。结节到底是什么病?实际上,结节的本质并不是一种病,它的定义本身就是影像学上认定的一种症状,而导致这种症状出现的原因,可能是组织增生,也可能是炎症团块,当然,也不排除是肿瘤的可能。
结节癌变的几率没有可参考性,因为这受多种因素的影响,比如结节出现的部位,大小,个人体质,环境因素等等,不过一般来说结节越大癌变的几率也相应增大,举个例子,肺结节如果结节大于3cm的,其癌变的几率超过8成;而在2-3cm之间的结节,癌变几率不到一半;一般人们检查时发现的结节都小于1cm,这算是小结节了,而小结节9成都是良性,所以体检的时候发现结节越大,越要注意,定期检查可少不了。

文章插图
一般来说,结节大部分为良性,但是,这也并不意味着要置之不理,一旦体检单上出现了“有结节边界不清、毛刺、有丰富血供”的字眼,则八成是出现癌变了。
谨防甲状腺结节、乳腺结节、肺结节癌变
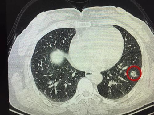
肺结节是近些年检查出来的患病较多的疾病,而肺癌作为全国恶性肿瘤的“佼佼者”,这两者之间有什么联系呢?数据显示,肺结节中九成以上都是良性的,但是,这也并不意味着可以高枕无忧,尤其是年龄在50岁以上、有长期吸烟史、家族遗传、工作中接触粉尘等致癌物的尤其要当心。
以前检查肺部问题多用X光片,但现在发现,X光片发现肺结节一般都比较大,癌变的几率也大,甚至发现时已经是癌症了,早期诊断意义不大;目前检查肺结节的主要手段是低剂量肺部的CT,这种检查准确率较高,能够发现较小的肺结节,有助于观察预防。

文章插图
大多数甲状腺结节都是良性的,但是,其致癌率也达到了4%-6.5%,如果体检报告上出现了“边界不清”“低回声”、“血流丰富”、“砂砾样钙化”的字眼就要引起重视。
.乳腺结节癌变的比例大概为4%-10%,女性如果本身属于乳腺癌的高危人群,比如生育较迟、未哺乳、40岁以上未孕、家族遗传的,要引起足够重视。
- 血压|主动脉夹层可夺命?这五类人是高危人群,需高度重视
- 进行|尿毒症多半是“吃”出来的?3种食物尽量少碰,肾或许“感谢”你
- 苹果是天然润唇膏 你知道吗?
- 生活|提醒:肝病多数是“拖”出来的,出现6种表现,最好查一下肝功
- 羊肉|羊肉到底是“致癌杀手”还是“营养佳品”呢?世卫组织揭晓答案
- 肠镜|肠镜选无痛好还是普通好?二者有何区别?不妨听听医生的分析!
- 疫情|切莫上当!这些都是流调员绝不会问的问题
- 心血管疾病|这个病还是“夫妻病”,你知道吗?
- 跑步有效延长寿命,但是晨跑和夜跑哪一个好?这才是最佳时间
- 小儿咳嗽可不都是肺热?小儿咳嗽也分好多种,你知道吗
