男子|男子胃里取出衣架、塑料管!在肚里待了3个月
男子胃里取出衣架、塑料管!在肚里待了3个月
每个人吃东西的口味原本
就都不太一样
正所谓“萝卜青菜各有所爱”
但这些都是正常的食物
文章图片
但有些人就喜欢
吃奇奇怪怪的东西
注意是“东西”
比如
沙子、土、木头、头发
....
文章图片
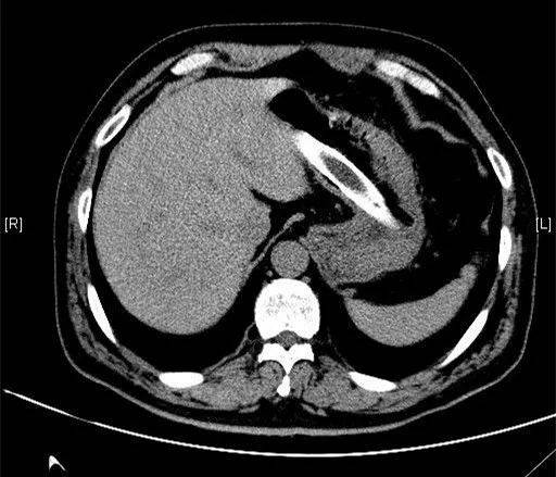
一节、二节、三节……总共有五节 , 其中四节是折断的衣架 , 一节是塑料管 。 这些从病人胃内取出的异物直径约为0.8厘米至2厘米 , 长度11-15厘米 。
文章图片
这是近日发生在
海口市人民医院消化内科的一幕
该患者今年58岁 , 3个月前 , 他将塑料衣架折断后吞进肚子里 , 同时塞进去的还有一节塑料管 。 近日该患者感觉肚子隐痛才来医院就诊 。 经CT扫描和病人自述 , 大家都惊呆了 。
文章图片
文章图片
文章图片
文章图片
10月29日
经过充分准备
该医院消化内科主任陈正义在麻醉医师
护士的配合下先试行内镜取出
因异物表面光滑且粗大
通过现有器材较难抓取
陈正义便通过
配合使用异物钳、圈套器等
不断调整角度及位置
最终将这几节衣架和塑料管全部取出
使病人免遭开刀之苦
医生提醒
如误吞异物 , 请及时就医 。 采用大口吞食馒头或米饭、喝醋等方法都是错误的 , 会加重消化道黏膜的损伤 。 如果发生出血、穿孔等情况 , 还会危及生命 。
【男子|男子胃里取出衣架、塑料管!在肚里待了3个月】来源:海南特区报
- 小林|男子一晚呼吸暂停176次?睡觉打鼾并非好事,背后或与这3件事有关
- 杭州男子总是“想女友”,竟是因为大脑……
- 男子|一斤白酒+12颗头孢,男子边淌汗边拔针:我没事,不用治!
- 甲亢|男子深夜突发心梗,险些离世!所有的突如其来,都是蓄谋已久。
- 硬度|厦门男子肠胃不适,喝了段时间猪肚汤,结果更严重了!送医检查竟是……
- 黑枣|只因这种水果,广东阿叔胃里长出“石头”
- 恒生医院|深圳恒生医院利用钬激光碎石术为患者取出数十枚肝内胆管结石
- 杭州男子总是出现“愣神”,竟是因为大脑……
- 男子|气到中毒?男子与女友吵架,吵到四肢僵硬倒地、双手痉挛、呼吸困难…...
- 男子1斤白酒+12粒头孢,没有发生双硫仑样反应,医生大惑不解
