老李|46岁男子,不痛不痒,查出肺癌,手上1个标记,提示已到中晚期
数据调查显示,我国是肺癌大国,肺癌是发病率和死亡率增长最快,对人群健康和生命威胁最大的恶性肿瘤之一,尤其是吸烟人群,更是肺癌的''候选人''。

文章插图
很多人提到肺癌,就会想到胸痛、咳血等异常,但是肺癌跟大多数肿瘤一样,早期症状并不明显,很有可能是不痛不痒。46岁的老李最近总是不舒服,经常咳嗽不说,还发热不见好,由于最近季节交替,老李习惯性地认为自己是患了流感,于是便去诊所打了好几天的吊针。

文章插图
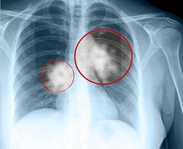
可是却也一直不见好,眼见着身体日渐消瘦,老李便赶紧去医院进行检查,可是拍了胸片,也没见到任何异常。之后,医生在和老李聊天沟通情况时,发现,老李的手指尖趋于隆起,胀的像鼓槌一样,见此,医生便赶紧让老李进行肺CT检查,果不其然,医生发现了罪魁祸首,是''肺癌'',并且已到了中晚期。

文章插图
经了解,老李是个不折不扣的烟民,已经抽烟二十余年了,不久前自己就开始胸闷咳嗽,手指变得发鼓,可不曾想,这竟是肺癌征兆啊!医生提醒:肺癌不痛不痒,可手上1个标记,提示已到中晚期!1、手指发鼓

文章插图
这在医学上可被称为''杵状指'',肺癌之所以会导致杵状指,研究认为,是因为气道阻塞会导致缺氧,肺部缺氧,随即会引起组织缺氧,长期的缺氧,就会导致手指末端周围的组织异常增厚,导致杵状指的发生。一般来讲,出现杵状指的时候,肺癌已到了中晚期,需要立即进行检查。2、手指疼痛

文章插图
一般说来,手指疼痛可能被误认为是风湿病等疾病,但是,肺癌也会引起手指疼痛。尤其是当手掌皮肤莫名变厚时,出现白色和皱纹,要警惕是癌症的征兆,当大量的癌细胞增殖时,皮肤上会出现厚的白色鳞状病变,这些都是由肺癌所引起的。3、大拇指肚回弹慢

文章插图
大拇指对应肺部经络,因此看拇指可以知道肺部的健康。正常的大拇指是指根粗、指尖略细,颜色荣润有光泽、弹性好,但有些人的大拇指,按压下去拇指回弹速度很慢、弹性差,这时要警惕,可能是肺气不足。有病变的风险。大家都知道吸烟有害健康,那么100个吸烟的人中,有多少人会患上肺癌?

文章插图
在''英国癌症杂志''上面就有了这个答案:不吸烟的人,患上肺癌的几率就是0.3?吸烟的人患上肺癌几率16?如果说每天的吸烟数量在5支以上,那么概率就是25?所以说在四个人里面就会有一个人患上肺癌。所以戒烟是最正确的选择!只要停止吸烟一周,肺部里的纤毛开始再次生长,进而加大肺部排毒的效率,有很多戒烟者在戒烟后会持续出现咳嗽和吐黑痰的症状,这其实是肺部在进行排毒。戒烟一个月后,肺功能就会慢慢恢复,呼吸系统得到改善。生活中,我们该如何预防肺癌,养好肺脏?一、主动咳嗽治疗

文章插图
生活中,大家都惧怕咳嗽,其实,对于肺病患者来说,咳嗽也是一个治疗的手段。肺结核细菌在肺内,气管支气管里,在早期,他们会刺激粘膜分泌一些粘液,我们如果能积极咳嗽,粘液就会包裹着结核菌被清理出来。所以,平时可以选择在清晨,多咳嗽几声,这样有助于清除肺部垃圾,对于肺病很有益处。二、多喝茶水清肺水是排毒剂,多喝水可以帮助清除肺毒,养肺护肺。可以在水中黄花苗和木犀,调制成?黄花苗木犀茶。
- 小林|男子一晚呼吸暂停176次?睡觉打鼾并非好事,背后或与这3件事有关
- 杭州男子总是“想女友”,竟是因为大脑……
- 男子|一斤白酒+12颗头孢,男子边淌汗边拔针:我没事,不用治!
- 甲亢|男子深夜突发心梗,险些离世!所有的突如其来,都是蓄谋已久。
- 硬度|厦门男子肠胃不适,喝了段时间猪肚汤,结果更严重了!送医检查竟是……
- 南京脑科医院|不是段子!46岁妈妈辅导孩子作业被气昏……
- 杭州男子总是出现“愣神”,竟是因为大脑……
- 男子|气到中毒?男子与女友吵架,吵到四肢僵硬倒地、双手痉挛、呼吸困难…...
- 男子1斤白酒+12粒头孢,没有发生双硫仑样反应,医生大惑不解
- 小林|男子抱怨天天睡醒“跟没睡一样”…医生:警惕,严重可猝死!
