华纳药业|华纳药业:正确了解肺结节,不要乱治疗,也不要被吓死( 二 )
实性结节(solid nodule)——恶性概率较低。实性结节是指其内全部是软组织密度的结节,密度较均匀,其内血管及支气管影像被掩盖。

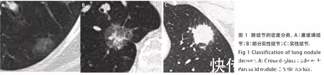
文章插图
依据结节大小判断处理方式
1. 对部分实性结节的处理及风险判断(亚洲共识指南)
(1)直径>8 mm的部分实性结节定义为高危结节:应由胸外科、肿瘤内科、呼吸科和影像医学科医师集体会诊,决定是否需要进行进一步检查(结节薄层三维重建CT扫描,薄层增强CT扫描,经皮肺穿刺活检)明确诊断、手术切除或3个月后进行CT复查。若结节3个月后没有缩小或增大时,考虑为恶性可能,建议手术切除。若结节缩小,建议6个月、12个月和24个月持续CT监测,无变化者建议长期年度CT复查,随访时间不小于3年。
(2)直径≤8 mm的部分实性结节定义为中危结节:建议3个月、6个月、12个月和24个月持续薄层CT扫描,并作结节的薄层三维重建。如果结节具有生长性建议手术,无变化或缩小建议继续长期CT随访,随访时间不小于3年。
多发肺结节的处理原则主要基于危险度最高的结节。对于多发高危险度结节,应考虑多原发肺癌的可能性,尤其是多发部分实性及亚实性结节。对此类结节,建议多学科会诊。
2. 对肺磨玻璃密度结节的处理及风险判断
(1)直径>5 mm的孤立纯磨玻璃密度结节定义为中危结节,建议3个月、6个月、12个月和24个月持续CT检测,结节具有生长性建议手术,无变化或缩小建议继续长期CT随访,随访时间不小于3年。
(2)直径<5 mm的孤立纯磨玻璃密度结节定义为低危结节,建议年度CT复查观察生长性。结节具有生长性建议手术,无变化或缩小建议继续长期CT随访,随访时间不小于3年。
目前还没有针对多发性肺结节管理的明确指南。亚洲共识指南建议对每个结节进行单独评估,不排除根治性治疗,酌情考虑病理学确认是否为转移。近年来, 随着多层螺旋CT的普及应用和肺癌筛查的广泛开展, 肺多发磨玻璃结节(GGO)检出率明显增高。肺GGO是肺组织内出血、炎症渗出或肿瘤等病变的一种CT影像征象, 表现为局部云雾状密度增高影,但其密度又不能完全掩盖在其中分布的血管纹理。文献报道肺出血、炎性渗出、肿瘤等病变可表现局部淡薄云雾状密度增高CT影像征象。当磨玻璃结节病灶持续增大时应考虑恶性肿瘤性病变。
肺多发纯磨玻璃结节:病理主要包括不典型腺瘤样增生、原位腺癌和微浸润腺癌,手术后预后良好,完全切除其特异性生存率可达到100%。
肺多发混合磨玻璃结节:多为微浸润腺癌、贴壁为主的浸润性腺癌和其他浸润性腺癌,结节中含有实性成分比例越高提示恶性几率越大,实性成分含量越多,肿瘤的侵袭性越强,预后就越差。
3. 对肺实性结节的处理及风险判断
(1)<4mm NCCN、ACCP、Fleischner协会指南均建议不需要随诊,亚洲共识指南建议每年复查1次CT。
(2)>4mm且<6mm NCCN协会指南建议低危人群1年后复查CT;建议高危人群半年到1年之间、1年半到2年之间复查2次CT。
(3)>6mm且<8mm NCCN指南建议低危人群在半年到1年之间、1年半到2年之间复查2次CT,建议高危人群3个月到半年之间、9个月到1年之间、2年复查3次CT。
(4) ≥8mm NCCN和ACCP指南均建议在第3个月、第9个月、2年复查3次CT,可行动态增强CT、PET和(或)活检。建议中危人群行PET-CT扫描,高度怀疑者可行外科活检,中低度怀疑者建议定期监测;建议高危人群行外科手术活检,若活检结果为阳性,建议手术切除。
- 公司|罗欣药业:子公司注射用美罗培南通过仿制药一致性评价
- 冬季突发心梗,8种自救方法,哪种才是正确做法?为家人转存
- 本轮疫情中|郑州市疾控专家:做好防护很重要 别忘正确戴口罩
- 刷牙的正确方法 晨起先刷牙还是先喝水
- 疫苗|郑州市疾控专家:做好防护很重要 别忘正确戴口罩
- 药品|贝达药业:BPI-371153胶囊获得临床试验批准通知书
- 患者|你的肾脏疾病诊断正确吗?
- 真相|尿毒症是绝症吗?告诉你4个小真相,正确认识尿毒症
- 滑雪|滑雪时不慎受伤,教你正确的处理方法
- 秋季螃蟹味道肥美 如何正确吃螃蟹了
