骨关节炎|世界首例!华西医院3D打印人工膝关节植入成功!
10月19日,吴婆婆回到四川大学华西医院骨科随访复查,之前饱受膝关节疼痛折磨多年的她,在接受手术20多天后,恢复了正常的行走能力。
原来,9月30日,川大华西医院骨科周宗科教授团队成功为患有膝关节骨关节炎的吴婆婆植入了3D打印分区骨小梁生物型膝关节假体。这种新型假体与传统骨水泥假体相比,其通过假体—骨界面紧密接触,促使骨组织长入假体,提高假体与髓腔的结合强度,从而达到假体的长期稳定。使用生物型人工膝关节,可保存患者骨量,同时避免或降低了骨水泥所导致的毒副作用。经文献检索,该技术属世界首例。

文章插图
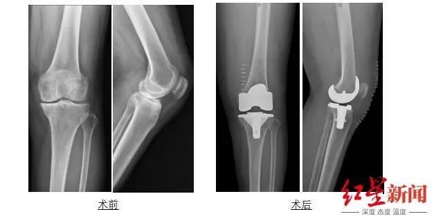
术前术后对比
“骨头磨骨头”
68岁老人患膝关节骨关节炎
饱受疼痛折磨
吴婆婆今年68岁,饱受膝关节疼痛折磨多年。近两年来,症状明显加重,不仅上楼、下蹲时膝关节疼痛难忍,久坐后也无法站立行走,甚至平路行走都难以超过300米。走路姿势一瘸一拐,生活质量受到严重影响。
吴婆婆辗转多家医院,被诊断为膝关节骨关节炎,接受了镇痛药物、理疗和关节腔内注射药物等治疗,效果均不理想。
今年9月,华西医院正式牵头开展生物型膝关节假体全膝关节置换术临床研究项目,该项目与传统骨水泥假体全膝关节置换术相比,在获得更好的疗效的同时,可以减轻患者的经济负担。
周宗科教授对吴婆婆进行了全面的评估:跛行步态,双膝疼痛严重,活动受限伴有屈曲内翻畸形;X线片显示关节间隙狭窄,呈“骨磨骨”表现,膝关节周围骨赘形成;双膝骨关节炎已经到达终末期,左膝为重,只有通过手术治疗才能解决患者的病痛。
在详细了解手术相关风险和注意事项、生物型膝关节假体的优势和特点后,吴婆婆最终同意手术,并签署了知情同意书。

文章插图
手术中
世界首例
植入3D打印分区骨小梁生物型膝关节假体
不仅解决病痛 还降低并发症发生率
9月30日下午,周宗科教授团队成功为吴婆婆施行了左膝关节置换术,术中植入生物型膝关节假体时无需骨水泥对假体进行固定,手术时间得到明显缩短。术后X线片显示,假体与骨完美匹配,固定良好,位置正常,吴婆婆左膝畸形得到完全纠正,膝关节活动度好。困扰吴婆婆多年的膝盖问题终于得到解决。
膝关节骨关节炎是一种膝关节退行性疾病,在中老年群体中,发病率较高。随着经济发展和老龄化趋势日益明显,膝关节置换术的需求量越来越大。此外,患者对膝关节置换术后的生活质量和假体寿命有了更高的要求,这就对假体设计和研发提出了新的要求。全球首款3D打印分区骨小梁生物型膝关节假体正是在这种高需求与高期待的新形势下应运而生。

文章插图
周宗科教授
目前临床上使用的膝关节假体多为骨水泥固定型假体,骨水泥即骨粘固剂,它可以将膝关节假体固定在骨界面上。骨水泥固定存在一定局限,如骨水泥单体具有一定的毒性;与骨接触面的骨溶解问题;随着时间推移,会发生变形和退变等。
本次植入的生物型膝关节假体在术中无需使用骨水泥,通过机械方式进行固定,即假体与骨组织的紧密结合,获得假体的初始稳定性,远期骨组织长入假体表面的微孔内部,实现由机械固定向生物内锁固定的转化,最终经过骨整合作用获得良好固定,预期能够获得更长的假体寿命。
此外,生物型膝关节假体避免了骨水泥相关并发症的发生,缩短了手术时间,最大程度保留了骨组织。因而减轻了患者术后疼痛,降低了围术期并发症发生率,有利于患者术后快速康复。
- 中藏医院|四川省骨科医院与松潘县中藏医院专科联盟
- 脊柱|邵阳学院附属第一医院脊柱骨病科、康复科携手让26岁瘫痪小伙再行走
- 股骨|为啥人老先老腿,知道这五个真相 且行且珍膝
- 骨关节炎|寒潮来袭,“老寒腿”的毛病又犯了,该如何是好?
- 膝盖|每天跑步,膝盖却出问题了!骨科医生:做到3点或能让膝盖好受点
- 肋软骨炎|经常胸痛,就是有心脏病?别先入为主!可能是这5种常见病
- 兔子|电子膝关节植入物可以帮助治疗关节炎
- 骨科|送医院四面锦旗!东莞一72岁老人患有股骨头坏死,医院克服手术风险给治好了
- 建设|北生所培养研究生的“三个一”(加快建设世界重要人才中心和创新高地⑤)
- 医院走廊里站着一对夫妻|夫妻二人相继确诊肝癌!医生:排骨怎能和“它”一起炖,伤肝不浅
