
文章图片

文章图片

文章图片

文章图片

文章图片

文章图片

文章图片
李大叔 , 任职某高中班主任 , 今年已经53岁 , 从业二十余年半数时间饱受慢性咽炎的困扰 , 尤其是在上完课的时候 , 有时遇到学生擦黑板 , 漫天粉尘 , 一遇上就会咳不停根本就进不去教室 。 于是李大叔常年备着胖大海、金嗓子含片等保护自己的嗓子 。
最近这几年李大叔咳嗽的次数明显增多 , 尤其是在换季的时候 , 长的要连续咳3个月以上才见好 。 一开始李大叔权当这是大部分教师的职业病 , 因为和自己年龄相仿的同事也免不了总是咳嗽 , 可无论是多喝水还是吃润喉药 , 咳嗽的毛病非但没见好 , 反而愈演愈重 , 尤其是在早晨一阵阵的咳白痰 , 有时候还带着血丝 。
这几天上完课以后李大叔不仅是咳嗽还总感觉喘不上来气 , 于是向学校请了几天假回家休养 。 当天晚上李大叔咳嗽、咳痰的症状突然加剧 , 还伴有高烧 , 于是在家人的陪同下 , 连夜送往急诊 。
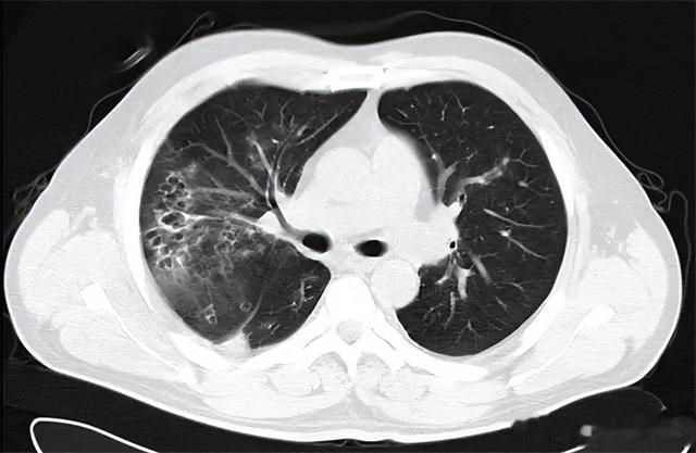
查体发现李大叔双肺下端可听及明显的湿性啰音 , 随后经X线检查显示李大叔双肺下端的肺纹理呈条索状、明显增粗 , 验血发现血液中的白细胞和中性粒细胞计数高于正常值 , 且痰液培养中含有革兰氏阳性菌和大量被破坏的淋巴细胞 。
在使用抗生素稳定病情后 , 医生通过复查李大叔的相应病史 , 最终诊断为慢性支气管炎的急性发作 , 随后给李大叔开了相应祛痰镇咳的药剂以及预防哮喘的支气管扩张剂 , 并叮嘱李大叔平时一定要多注意增强体质 , 尽量避免粉尘的吸入 。
但李大叔还有疑问:“我之前一直是喉咙有炎症 , 所以才咳嗽 , 怎么这就和肺联系上了?还耽误我这么长时间没有去就诊 。 ”对此 , 医生解释道:“在引起慢性咳嗽的症状上 , 慢性咽炎的确和慢性支气管炎有相似的地方 , 但这两者并没有直接联系 , 但是同作为诱因的粉尘既可以导致慢性咽炎 , 也可以导致慢性支气管炎 。 ”但是肺出了问题 , 咽喉往往能反映 , 所以日常生活中 , 我们要密切注意自己喉咙是否出现以下症状 。
一、医生提醒:肺部来临 , 喉咙先知!慢性支气管炎由于中老年人群众多发 , 所以俗称“老慢支” 。 像是“老慢支”、支气管哮喘、支气管扩张或者肺水肿等常见肺部的呼吸道疾病 , 其共有的病理反应就是支气管的炎症 , 而最明显的症状往往是体现在咽喉部 , 所以如果喉咙出现以下几种情况 , 肺部极有可能出现问题 。
1、长期咳嗽
当支气管长期受到化学(如二氧化碳、工业废气等有害气体)、物理因素(如粉尘、烟雾等)的损害 , 构成支气管管壁的细胞就会变性、坏死引发炎症反应 , 而炎症又会加剧支气管管壁细胞的损害 。
总而言之 , 无论是内在还是外在因素对支气管的刺激 , 都可化为神经冲动 , 随支气管平滑肌束内的传入神经到达延髓咳嗽中枢 , 再由喉下神经、脊髓神经等传出神经作用于呼吸肌 , 通过肌肉的收缩舒张完成咳嗽 。
- 肺部有问题,喉咙先知,出现这2个异常,别再误以为是咽炎了
- 今年提前来袭!有人高烧不退肺部“大片实变”,医院接诊超500例
- 肺部有癌,睡眠先知?睡觉若出现4种异常,或要警惕起来
- 肺部有癌,睡眠先知?睡觉出现4种异常,要小心癌症来临
- 肺部有癌,睡眠先知?睡觉出现4种情况,或是癌症发出的信号
- 肺部“抱恙”,喉咙先知?出现这2种异常,或许要养肺了
- 经常抽烟的人,如果能记住4点,即使不戒烟,肺也会“感谢你”
- 戒烟后,变黑的肺还能白回来吗?医生:戒烟尽量不要晚于这个岁数
- 大蒜,是肺结节“催命符”吗?医生:不想结节癌变,少碰“2味”
- 身体有病,双腿先知!提醒:若出现5种迹象,或是疾病在“作怪”
