治疗|精准评估,多学科诊疗护佑老年患者健康
近期 , 北京老年医院心内科进行了一次特殊的术前精准冠脉评估检查 。
79岁的李大娘因长期2型糖尿病控制不佳出现了重度骨质疏松 , 近2年因为胸椎压缩性骨折、桡骨骨折 , 多次就诊于我院骨科 , 无奈地成了骨科的“老顾客” 。
【治疗|精准评估,多学科诊疗护佑老年患者健康】今年7月底 , 李大娘因为左肱骨骨折再次入住骨科 , 准备行切开内固定术 , 在术前评估中主管医生张大夫眉头紧锁:李大娘的心电图较过去2年不一样了 , 立刻申请了心内科会诊 , 经过详细研读检查材料 , 仔细询问病史 , 会诊医生刘大夫发现李大娘心电图II、III、aVF导联较2年前新出现了Q波 。 这也提示着 , 李大娘在过去2年间出现过心脏下壁心肌梗死!
这样的术前评估结果让李大娘觉得奇怪 , 因为她一直没有觉得有任何明确的胸痛症状 , 只是偶尔做家务以后稍微有点胸闷 。
但通过详细分析李大娘的病史 , 心内科王健主任医师指出:李大娘长期2型糖尿病、血糖控制不佳 , 继发了周围神经病变和骨质疏松 , 一方面导致脚底感觉异常 , 容易踩空并跌倒、造成骨折 。 另一方面 , 也导致了李大娘对内脏性疼痛不敏感 , 已经发生了心肌梗死却浑然不知 。
如此一来 , 现在心脏的情况能否耐受外科手术便成为了骨科和心内科大夫的担忧 , 经过慎重考虑 , 决定先进行心脏血管检查——冠状动脉造影 , 以进一步明确心脏血管情况 。
经过与李大娘和家属的充分沟通 , 李大娘紧握王健主任的双手 , 说道:“做您该做的吧 , 我这条命就交给您了!”
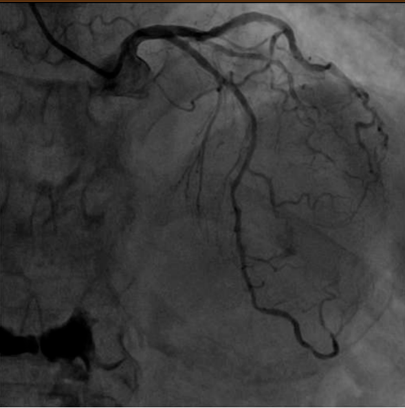
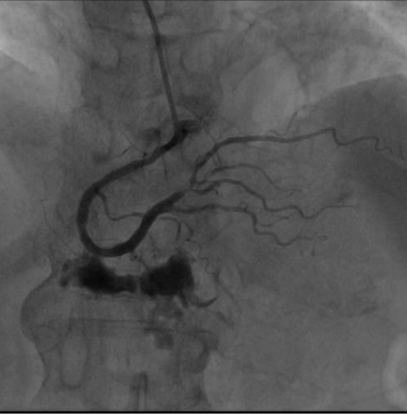
手术当天 , 李大娘顺利完成了冠脉造影检查 。 造影见左侧冠脉有很多斑块 , 但血管管腔狭窄尚不严重 。 右冠多处节段性狭窄 , 其中远段后侧支可见80%狭窄 。
文章图片
请点击输入图片描述
文章图片
请点击输入图片描述
看到这样的造影结果 , 大家都松了一口气 。 李大娘的确是因为右冠脉狭窄导致了下壁心肌梗死 , 但结合入院以来完善的血清学指标 , 已属陈旧性心肌梗死 。
造影见右冠脉远段仍有80%狭窄 , 属于临界病变 , 可先通过系统药物治疗来达到骨科围术期预防心脏风险的目的 。 目前可优先进行骨科手术治疗 。
文章图片
请点击输入图片描述
冠脉造影过程非常顺利 , 十余分钟便完成了 , 李大娘开玩笑说:“这就做完了?我以为还没开始呢” 。
之后 , 李大娘转回骨科并接受了左肱骨切开内固定术 , 手术很成功 。
李大娘及家属对我院的多学科联合诊疗模式非常赞赏 , 对医生说道:“感谢你们认真负责 , 减少了我们在多个科室间的奔波 , 让患者能够得到全方位的救治 , 有惊无险地度过手术大关 。 ”
老年患者常多病共存 , 多学科诊疗是老年医学的重要诊疗模式 , 术前的精准评估可最大程度的规避手术风险 , 这仅仅是其中的一例 。
心内科介入团队将秉着“真心诚意全心服务 , 安心舒心放心治疗”的理念 , 为每一位患者的健康保驾护航 。
文 | 心内科 刘宏
北京老年医院心内科介入团队
文章图片
请点击输入图片描述
北京老年医院心内科以老年心脏疾病为特色 , 是集临床、科研、教学和康复为一体的综合性临床学科 , 擅长老年冠心病、心力衰竭、心房颤动、缓慢心律失常等常见病、多发病的诊疗 , 及心脏病伴多合并症复杂内科疾病的诊疗 。
- 隔离|如何帮治疗、隔离中的孩子做好心理调适?专家给出建议
- 治疗|糖尿病服药后,出现的低血糖比较严重怎么办?
- 相关|【中国实用外科杂志】肥胖代谢病合并甲状腺癌外科治疗中国专家共识(2021版)
- 治疗|治疗运动神经元的方法有哪些呢?
- 国人历来重视精神对治疗疾病、养生保健的重要作用|心平气和,有益健康的“良药”
- 治疗|善德医疗·好安森|这6种血糖测量方法,好多人都不清楚!
- 歧视|乙肝容易传染?中医帮你疏肝解郁,软坚散结,治疗乙肝一步到位!
- 慢性支气管炎|上海凯宝:目前暂无关于幽门螺旋杆菌方面的治疗产品
- 治疗仪|长沙仁爱妇产医院:引起宫颈囊肿的原因
- 进行|肾脏病症状有“5字决”,哪些人是高危人群?常见治疗有7类用药
