方式|46岁男子突发脑梗!医生:祸根找到了
46岁黄大哥今天起得特别早 , 因为今天是他儿子生日 , 他要去菜市场准备买好菜 , 为晚上做大餐做准备 。 就在他准备拿起电动车头盔时 , 突然啪的一声 , 头盔掉落在地!
他弯腰准备捡起来时 , 发现自己左手完全没有力气 , 左下肢也完全不听使唤 , 于是急忙喊妻子名字 , 居然名字都说不完全了!
文章图片
妻子见到异响 , 赶过来一看 , 情况不对劲 , 赶紧扶他沙发上休息 , 同时呼叫120 , 送他去附近医院看急诊 。 到了医院 , 急诊医生询问病史、查体后立即安排测血压、心电图、生化检查 , 绿色通道送CT室做头颅CT检查 。 黄大哥既往有高血压 , 一直未治疗 , 平时是“烟酒生” , 天天抽烟喝酒 , 每天2包烟 , 2瓶啤酒!
查体结果:双侧瞳孔等大等圆 , 直径约3mm , 对光反射灵敏 , 双眼球各向运动充分 , 无眼震 , 双侧额纹对称 , 左侧鼻唇沟变浅 , 口角无歪斜 , 伸舌左偏 , 咽反射灵敏 。 双肺呼吸音清 , 未闻及干、湿性啰音 。 心率97次/分 , 律齐 , 各瓣膜区未闻及病理性杂音 。 腹软 , 全腹无压痛及反跳痛 , 肠鸣音正常 。 左上肢肌力4-级 , 左下肢肌力3+级 , 右侧肢体肌力5级 , 四肢肌张力正常 , 深反射正常 , 浅反射正常 , 深浅感觉正常 , 双侧指鼻试验、右侧跟膝胫试验稳准 , 左侧跟膝胫试验、闭目难立征不能配合 , 双侧Babinski征(-) , 颈软 , Kernig征(-) , Brudzinski征(-) 。 NIHSS评分:2分 。 mRS评分:3分 。
文章图片
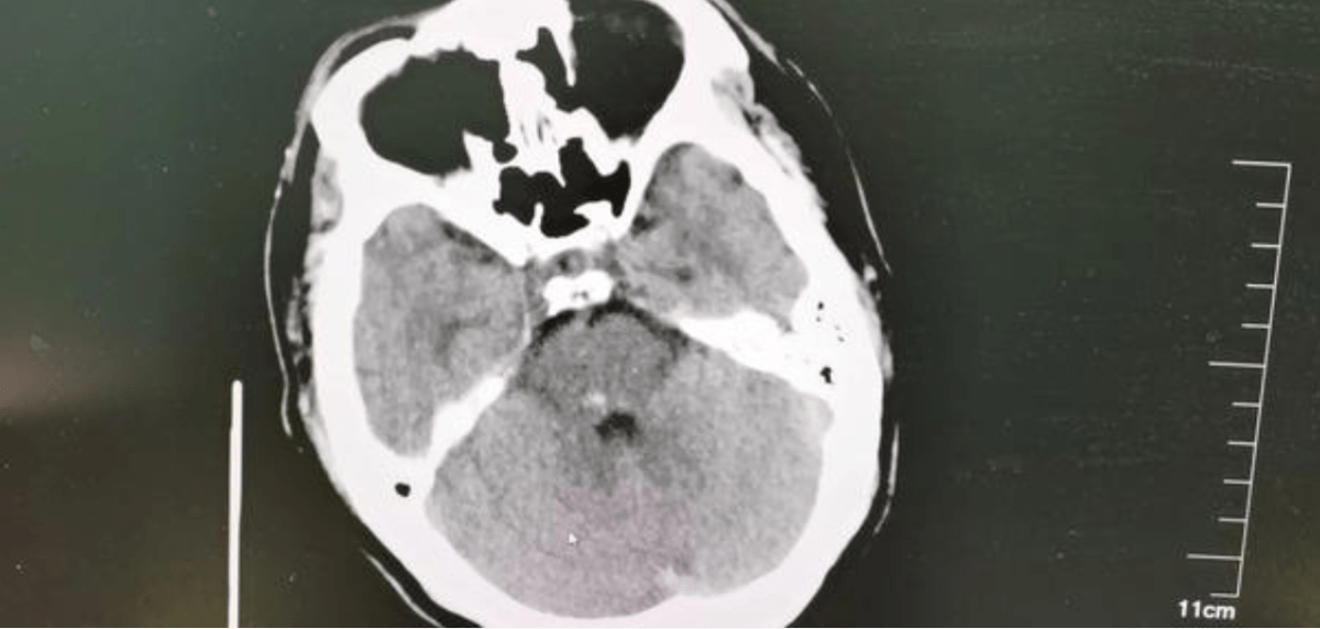
相关检查结果也出来了!血压:142/102mmHg , 头颅CT提示:右侧放射冠脑梗塞!医生告诉黄大哥夫妇 , 病情重 , 诊断急性脑梗死 , 需立即安排神经内科住院!
时间就是大脑 , 黄大哥夫妇也配合医生的安排 , 很快住院到了神经内科 , 医生进一步检查 , 拟进行溶栓等治疗 。
黄大哥妻子问医生 , 自己丈夫平时身体好好的 , 除了高血压 , 怎么突然就脑梗了?
文章图片
医生摇头叹息:高血压不重视 , 加上抽烟、喝酒的不健康生活方式 , 都是脑梗发生的高危因素 , 这次发病的祸根 , 最主要就是高血压 , 加上不良生活方式!
黄大哥夫妇听医生说了后 , 后悔莫及 , 这里也提醒广大读者朋友 , 高血压切莫疏忽大意 , 一定要及时诊治 , 同时 , 生活中远离不良生活方式非常重要 , 为了健康 , 一定要戒烟限酒 。
【方式|46岁男子突发脑梗!医生:祸根找到了】(文中部分图片来源网络 , 版权归原作者所有 , 在此对图片作者表示感谢 , 如您发现有任何侵犯您版权的情况 , 请联系我 , 我将删除 。 )
- 生活|北京古楼疑难病研究院:肝硬化的传播方式有几种
- 小林|男子一晚呼吸暂停176次?睡觉打鼾并非好事,背后或与这3件事有关
- 杭州男子总是“想女友”,竟是因为大脑……
- 男子|一斤白酒+12颗头孢,男子边淌汗边拔针:我没事,不用治!
- 机构|最全整理!北京市新冠病毒核酸采样点和24小时核酸检测机构名单来了,查询方式→
- 甲亢|男子深夜突发心梗,险些离世!所有的突如其来,都是蓄谋已久。
- 硬度|厦门男子肠胃不适,喝了段时间猪肚汤,结果更严重了!送医检查竟是……
- 南京脑科医院|不是段子!46岁妈妈辅导孩子作业被气昏……
- 杭州男子总是出现“愣神”,竟是因为大脑……
- 男子|气到中毒?男子与女友吵架,吵到四肢僵硬倒地、双手痉挛、呼吸困难…...
