支气管|消失的假牙钩在气管上,杭州大伯“心肺都要咳出来”!这些动作不要再做了!
家住杭州的周大伯,虽然平时有咳嗽的老毛病,但最近却总是出现莫名的剧烈咳嗽,仿佛“心肺都要咳出来”。子女送周大伯去医院,取出来的东西把全家人吓出一身冷汗。
70岁大伯“心肺都要咳出来”
消失的假牙竟横在气管里
长三厘米还带钩
今年70多岁的周大伯在多年前就装了假牙。自家中近期突遭变故以来,周大伯百感交集,还曾借酒消愁。平时一向生活习惯不错的他,也渐渐变得粗心大意。子女们虽忙于各自的工作、生活,但他们一有时间便来陪伴周大伯。近日,细心的女儿发现父亲有些“不对劲”“:虽然平时有咳嗽的老毛病,但他最近却总是出现莫名的剧烈咳嗽,仿佛“心肺都要咳出来”,甚至还会出现大口喘气依旧呼吸困难的情况。

文章插图
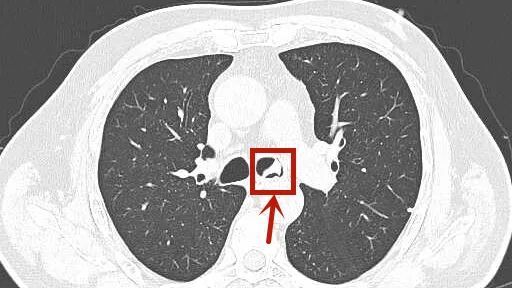
这些不对劲,让子女们都担心不已,赶紧把周大伯送到了杭州市第三人民医院呼吸内科。接诊的丁凌医生询问后,怀疑周大伯的气管内存在异物,第一时间安排他做胸部CT检查。而结果显示气管内有高密度影,高度异物可能!
可异物究竟是什么?周大伯和家人反复回想,都百思不得其解。

文章插图
呼吸科主任冷报浪仔细阅片,立即联系内镜中心,紧急为周大伯安排纤维支气管镜检查:气管镜经声门进入,果然发现一异物横跨在气管分叉与左主支气管交界处。
再仔细一瞧,它质硬,带小钩,大小约3*2*1cm,这不正是周大伯消失的部分假牙么?
在明确周大伯的异物来源后,冷报浪开始用异物钳尝试将它取出。“由于假牙表面光滑坚硬,一次取出难度较大。而通过初步探查,冷报浪发现,假牙的倒钩已有部分嵌入到患者气管内壁,如果强行取出或操作不慎可能会刮伤气管壁”。
只见,冷报浪手握气管镜与异物钳娴熟操作,他不断仔细调整角度,逐步将异物整体松动、分离,终于将异物从周大伯的气管中顺利取出,避免情况的恶化。

文章插图
“没想到爸爸这次住院,竟然是假牙惹的祸!”内镜中心外,周大伯女儿拿着医生取出的假牙后还心有余悸地感叹。
假牙、辣椒、螺、虾、鸡鸭骨头……
异物误吸到气道非常凶险
这些动作不要再做了!
“作为呼吸科医生,气管镜取异物这样的手术方式是比较常见的。”

文章插图
冷报浪介绍,科室几乎每月都会收治气管异物患者,取出物品不仅有假牙,还有金属物、辣椒、豆类、螺、虾、鸡鸭骨头、红烧肉块等,堪比“杂货箱”。虽然部分异物很小 但它被误吸入气管、支气管内且无法自行咳出,可影响患者呼吸,随着时间推移继发感染加重病情,严重时可危及生命。
冷报浪提醒,老年人吃东西时可能毫无察觉地误吞误吸假牙并继续进食,尤其是无法与人交流的老人更危险。不要给佩戴假牙的人吃黏性较大的食物,如年糕、糍粑、汤圆等,吃饭细嚼慢咽。不要再戴着活动假牙入睡,以防半夜误吸。有条件的老人,尽量镶固定假牙,并定期去医院检查,出现松动或是到时间了,都要及时更换。
一般来说,气管异物的病程进展可分为以下4个时期:初期
也就是异物进入期,会出现剧烈地咳嗽、憋气甚至窒息。
安静期
也就是异物停留气管、支气管内,无症状或轻微咳嗽及喘鸣。
刺激与炎症期
在这个时期,刺激粘膜会产生炎症反应及细菌感染从而引起咳喘、痰多等症状。
- 口味|给孩子做个“快手菜” 营养丰富,口味独特,提高身体的免疫力
- 潜伏在我们身边的这3种“致癌”蔬菜,看完你还敢继续吃吗?
- 隔离|如何帮治疗、隔离中的孩子做好心理调适?专家给出建议
- 饮食习惯|咸鱼腊肉很好吃,但吃多了真的会致癌?牢记3点,或无后顾之忧
- 患上糖尿病|隔代也会遗传糖尿病?关于糖尿病的5个冷知识,你了解多少?
- 宜温阳|郭德尚:肝硬化腹水的主要病机
- 治疗|糖尿病服药后,出现的低血糖比较严重怎么办?
- 进行|尿毒症多半是“吃”出来的?3种食物尽量少碰,肾或许“感谢”你
- 过量食肉带来的危险 你知道么
- 生活|提醒:肝病多数是“拖”出来的,出现6种表现,最好查一下肝功
