长时间|72岁奶奶骨头被“吃了”?医生:千万别忽视这件小事
陈奶奶(化名)出生在浙江金华一个小乡村,幼时家贫,她没念过书,一直帮着父母干农活、料理家务。20岁出头时和同村的小伙子成婚,生下一儿一女,俩口子靠着种地、做点小生意,拉扯大了孩子。
孩子成家立业后,生活渐渐好了起来,陈奶奶家盖起了三层小楼,儿女也非常孝顺,心疼父母年轻时非常操劳,每次回家都大包小包地带各种补品给老两口。
【 长时间|72岁奶奶骨头被“吃了”?医生:千万别忽视这件小事】今年3月初,陈奶奶在村里行走时,被别人抬着的柜子撞了一下,撞在右侧腰胯部,当下陈奶奶觉得没啥,只听到骨头似乎发出了几声“咔咔”的声音。大约一个多星期后,陈奶奶却发现右侧髋部越来越痛,没法下地,甚至躺在床上翻一下身都痛不欲生。
原来,12年前,陈奶奶因摔倒导致右侧髋部骨折,在当地医院接受了人工髋关节置换术,手术后,陈奶奶行走生活并无异常,也就并未太在意,也从未复查过。经当地医院检查,陈奶奶被发现髋关节假体松动了,更关键的是,髋关节附近的骨头也已严重破坏缺损。

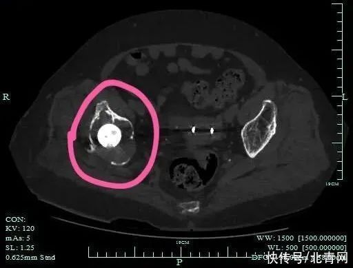
文章插图
CT显示,多处骨骼缺损
专家团队为陈奶奶进行了复杂髋关节的翻修手术,手术非常顺利,术后第三天,陈奶奶就可以在儿女的搀扶下顺利下床、走路了。在后续的复查中,她也恢复良好,生活又回归了正规。
医生提醒
遇到以下情况要及时就诊
如果关节出现疼痛、或者活动出现僵硬等不灵活状态,特别是40岁以上人群,应该及时就诊。关节的磨损是日积月累的,如果能及早介入,可以大大延缓关节的损害程度,就像车要进行保养才能延长使用时间和质量,关节也是需要及时“保养”的。
一旦发生关节损伤到无法使用的地步,已经严重影响到生活质量,则建议尽快进行人工关节置换,如果拖延下去,只会造成更严重的骨缺损,增加手术难度。
专家建议,在日常生活中,最好少做以下这些伤关节的事。
1.长时间坐着不动,或错误的坐姿2.经常爬楼梯、爬山,长时间骑单车,长时间激烈、碰撞运动,或是错误的运动方式3.经常穿超过7cm的高跟鞋
4.总是露脚踝5.长时间蹲厕所6.长时间使用鼠标
来源:浙大一院(ID:zdyyxczx)
- 张奶奶|为危重患者保驾护航!全院大会诊助力我院综合诊疗能力不断提升
- 骨科|送医院四面锦旗!东莞一72岁老人患有股骨头坏死,医院克服手术风险给治好了
- 奶奶说不管穷富,大寒前多吃“招福”菜,多吃福气满满,越来越顺
- 睡眠|50岁后每天睡多长时间适合?提醒:最佳睡眠时间已公布,可以自查
- 50岁后每天睡多长时间适合?提醒:最佳睡眠时间已公布,可以自查
- 新的一年开始了,多吃养身菜,奶奶说寓意平安富贵,吃嘛嘛都香
- 长时间站着和坐着、长期伏案工作和做重体力劳动等|后背疼痛不一定是累的,这4种疾病,可能会“盯上”你
- 春节就要到了,多吃养身菜,奶奶说寓意平安富贵,吃嘛嘛都香
- 奶奶曾说过,家里要有的3种“发财果”,寓意大吉大利福寿安康
- 春节就快来临,多吃养身菜,奶奶说寓意平安富贵,吃嘛嘛都香
