老人|家里老人突发脑溢血咋办?本文教您急救方法,4个步骤记清楚了
导语:王奶奶今年80岁,有着将近10年的高血压病史,平时都在乡村的卫生所,不间断的领取一些降压药,但血压控制得不理想,经常会有波动。正月初八那天儿子带着一家回来吃饭,王奶奶高兴,和儿子喝了几杯酒,等到第二天儿媳妇儿,叫王奶奶吃饭的时候一直没动静,打开房间一看王奶奶昏迷不醒。

文章插图
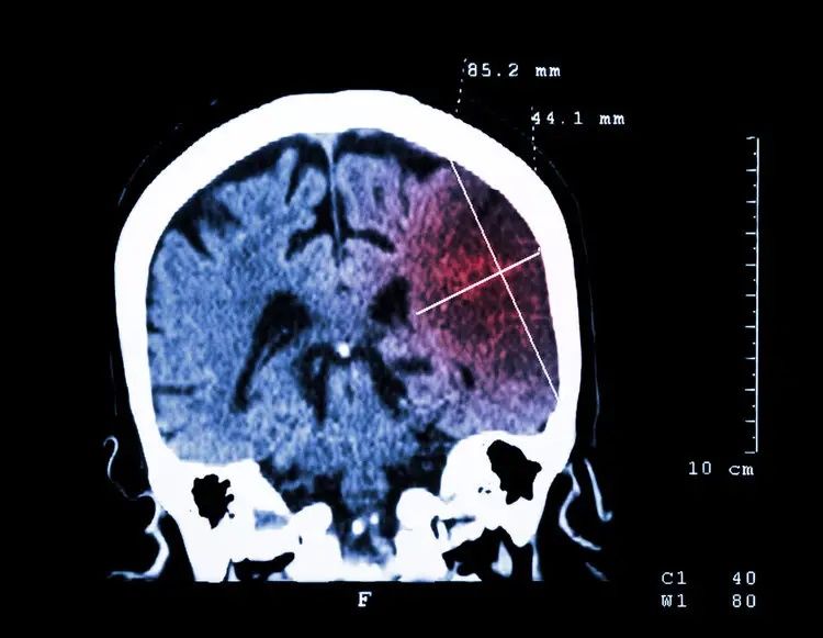
他们马上打120将王奶奶送到医院治疗,医生判断王奶奶是脑出血,马上给王奶奶做了头颅CT检查,结果显示是脑干出血。最终住院抢救24小时无效身亡。
很多中老年人都是因为脑溢血突然猝死,脑溢血到底是怎样的一种疾病?发生脑溢血时会有什么症状呢?
脑溢血,民间也称其为“中风”,是一种突发性的,自发性的脑出血。很多人以为脑溢血是一场“突发意外”,但实际上,多数患者在发病前几天或前几小时,就产生了预兆:
1、眼部不适
两边瞳孔大小不一,眼睛干热,视线模糊,还有可能会暂时失明。

文章插图
2、意识出现障碍
精神萎靡恍惚,有困意,却怎么睡都睡不醒,身体昏沉。
有些人还可能会有性格反常的现象,如平日里很活跃的人,突然变得沉默起来,行动迟缓,易怒暴躁。
3、感到头晕
开始站立不稳,头晕眼花,眼前天旋地转,大脑昏昏沉沉。

文章插图
4、嘴眼歪斜
口角不自觉流口水,说话吐字不清,或听不懂别人的话。从外表上看,嘴角向上歪斜,眼睛向下歪斜。

文章插图
脑溢血和脑梗其实是2种疾病,虽然两种疾病都是关于大脑的疾病,但是二者相比脑出血的发病率更低,但是它的致死率非常的高,想要区分两者的区别,就要熟练记住以下3点。
(1)一个是破,一个是堵
脑出血,相应的症状是血管破裂。脑出血的事件中,超过80%都是与高血压有关,血管由于承受不住高压导致血管壁受损,一段时间后,很有可能就会破裂发生脑溢血。

文章插图
而脑梗的症状是血管堵塞。脑梗,发生的原因是动脉粥样硬化。打个比方,血管好像就是水龙头,导致血管堵塞的就是水垢,水垢积累,导致水流受阻,也就是血液流动受到阻碍,导致脑组织不同程度的坏死,这就是脑梗死。
(2)一个立现,一个多变
脑出血,一旦发病,将非常的“迅速”,还会伴随着血压,血压明显增高,在数分钟甚至数小时达到高峰,最终导致死亡。而脑梗的变化是复杂多样的,有的是大面积梗死,会出现一些早期的症状,但是患者的血压一般比较稳定。

文章插图
(3)一个喜动,一个喜静
脑出血往往在白天发病,大多数情况是由于患者的情绪不稳定,用力过猛等导致血压升高,诱发脑出血。而脑梗大多在夜晚睡觉,休息时发病。

文章插图
第一步:应立即打120,讲清楚患者的性别,年龄,地点电话,并将患者的发病症状准确无误地描述给医生。
第二步:将患者平躺在地板或硬板床上,将患者的头部稍抬高15到30度,稍向后仰,并将其偏向右侧或左侧,使患者呼吸顺畅,利于呕吐物从口腔流出。

文章插图
第三步:对于患者的头部进行物理降温,从冰箱中取出一些冷冻的物品,包裹在毛巾或塑料袋中,扎紧后放在患者的颈部,枕部,头顶和前额,这样有利于快速止血,减少大脑的损伤。
- 苹果|冬季最应该吃的水果,苹果和梨都不如它,4元1斤,多给老人孩子吃
- 老人|隆回县人民医院为84岁中风老人及时溶栓成功
- 冬季突发心梗,8种自救方法,哪种才是正确做法?为家人转存
- 老人年纪大了腿脚不方便,过年多吃3种富贵果,寓意福寿安康
- 造血|老人容易贫血?吃阿胶补养气血可以吗?4类老人建议避开
- 果胶|108岁老人,60多年没得过慢性病!她的长寿秘诀,你也可以学!
- 苹果|老人必吃的三大水果,降压、防大病、通便!很多人都不知道
- 地塞米松|科普丨关于突发性耳聋,你了解多少?
- 零下十几度老人受不了,3种吉吉果多吃,寓意身体安康幸福快乐
- 治疗|服用“他汀”一年,老人肾衰竭了!再次提醒:这些副作用要留意
