
文章图片
“镜面人”又称“镜子人”或“镜像人” , 即心脏、肝脏、脾脏、胆等器官的位置与正常人相反 , 心脏、脾脏在右边 , 肝脏位于左边 , 心、肝、脾的位置好像是正常脏器的镜中像 。 日前 , 安医大二附院就接诊了这样一位特殊的伴有血管解剖变异的镜面人患者 , 经过12小时的手术 , 医生为这位患者成功切除了12指肠肿瘤 。 据悉 , 该类手术在国内外文献中均罕见报道 。
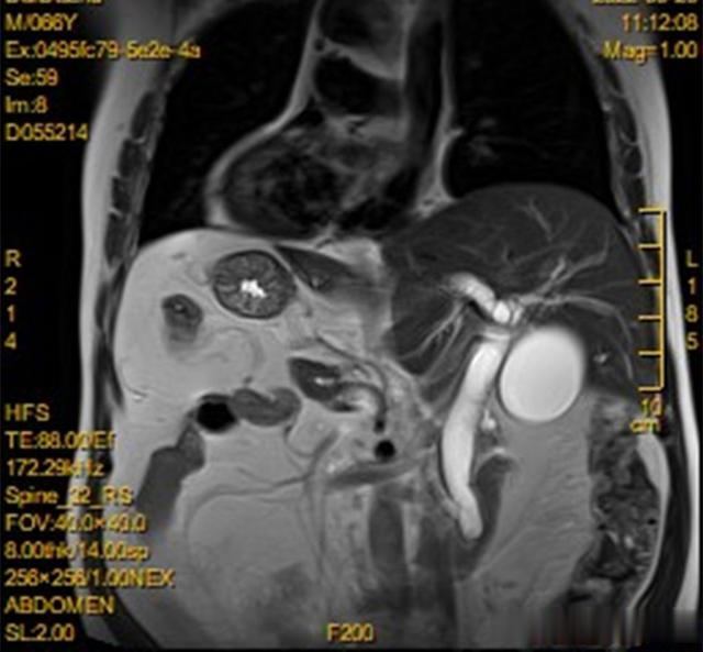
据了解 , 今年66岁的戴先生近1个月来出现了眼黄和尿黄的症状 , 出现症状后他随即到了家附近的医院就诊 , 当地医生告诉戴先生 , 他可能患上了12指肠肿瘤 , 需要手术治疗 。 戴先生辗转来到了安医大二附院住院寻求手术治疗 , 在该院肝胆胰外科三病区 。 接诊医生给戴先生安排了检查 , 当腹部CT检查结果出来时 , 科室医生惊奇的发现 , 这是一位非常罕见的“镜面人”患者 , 发病率仅为百万分之一 。
医生经过进一步诊察发现 , 戴先生的肿瘤生长在一个被称为“12指肠乳头”的部位 , 肿瘤的生长已经引起了胆道的梗阻 , 而且患者的血管也有明显的解剖变异 。 病区主任侯辉立即组织了医疗组展开治疗方案的研判 , 经过反复讨论 , 治疗组明确了手术切除胰头和12指肠的最佳治愈手段 。
【医生|罕见“镜面人”遭遇12指肠肿瘤医生:概率不足百万分之一】
面对两种手术的方式 , 医生避开了创伤大恢复慢的传统开放手术;采用创伤小、恢复更快的新型腹腔镜胰头12指肠切除手术 。 但镜像的器官是横亘在手术团队面前的一道难题 。 据侯辉介绍 , 在镜像人患者治疗中 , 往往一个常规胆囊切除开放手术都会很棘手 , 因为所有器官反位 , 需要外科医生把习惯的操作都反着来做 。 “这就类似习惯用右手写字的人 , 此时需要用左手写字 。 ” 侯辉告诉记者 , 而腹腔镜胰头12指肠切除又被认为是腹腔镜外科的“珠穆朗玛峰手术” , 因为胰头12指肠切除手术需要切除包括胆囊、远端胃、整个12指肠和胰头部位 , 切除后还需要做消化道重建 , 被认为是仅次于肝移植的外科第二复杂大手术 。 科室手术治疗组经过周密的讨论 , 作为省内外较早开展腹腔镜胰头12指肠切除手术的学科之一 , 已经积累了丰富的临床经验 , 可以保障手术的安全进行 。 经过反复沟通后 , 戴先生的家属表示同意接受这台高难度手术 。
经过周密的术前准备 , 历经12小时的奋战后 , 这台腹腔镜胰头12指肠切除手术顺利完成 。 在医护人员和家属共同的悉心治疗与照料下 , 戴先生最终好转出院了 。 出院前 , 戴先生也像肝胆胰外科三病区的医护人员表达了由衷感谢 , “感谢所有的医生、护士 , 在我治疗期间的用心付出 , 帮我减少痛苦 , 恢复健康 。 ”
(梁骁 何丹丹)
- 吃了“γ-氨基丁酸软糖”就能睡好觉?专家:没试验依据
- 便秘|郭德尚:胰腺癌的中医病机
- “瑞金科学生活馆”首展开幕:科普近视防控,免费提供眼健康检测
- 夏天被丢掉的“真金白银”!看着不起眼,却能解暑利尿消痱子
- 得了冠心病,什么时候做支架?医生告知3个手术指征
- “胆囊”不好的人,身体会出现哪些“表现”呢?你体会过吗
- “近视神药”暂停网售:有家长一口气囤两年药 代购称加钱买不限量
- 女性不想被别人叫“黄脸婆”,4种水果尽量少吃,快来看看
- 认为少喝点没事,九旬老人被两小杯红酒“放倒”引发痛风
- 小时健康小站播报白衣追光之行,培养未来医生的全科医学素养
