
文章图片

文章图片

当我们生病的时候身体总会发出一些提示信号 , 比如:发烧、炎症等等 , 这是我们的免疫系统在保护人体淋巴系统就是主管免疫功能的“核心” 。 今天让我们来了解一下浅表淋巴结肿大作为常见的症状或体征 , 究竟会对人体产生哪些影响 。
- 淋巴结炎
- 淋巴结结核(也叫淋巴结核)
- 猫抓病
猫抓病引起的淋巴结病变的病理图像
猫抓病是由于叫汉赛巴通体的棒状小杆菌存在于猫的口咽部 , 跳蚤是猫群的传播媒介 。 人通过猫的抓伤、咬伤或人与猫密切接触而转移到人体 , 引起人体感染 。 患者可伴有发热、乏力、头痛、厌食的全身症状与淋巴结肿大可同时出现 。
- 引发恶性肿瘤
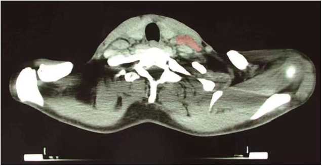
包括霍奇金淋巴瘤(Hodgkin病)与非霍奇金淋巴瘤 。 它们的临床表现绝大部分都是在身体浅表部位出现了肿块 , 人们因为摸到它才就诊的 。 这些肿块常常在颈部、锁骨上、腋下触摸到 , 也有少部分在腹股沟摸到 。 如果进一步检查 , 还会在胸腔、腹腔深部发现更多肿大的淋巴结 。 其早期少有全身症状 。 晚期会出现发热、盗汗、全身无力、消瘦等症状 , 经抗炎、抗结核治疗无效 。
一位霍奇金淋巴瘤的颈部CT提示左侧颈部淋巴结肿大(红色阴影部分)
(2)白血病:
包括了急性淋巴细胞性白血病、急性非淋巴细胞白血病、慢性淋巴细胞性白血病等 。 这类疾病往往也伴有浅表的淋巴结肿大 , 但常常是全身症状更明显 , 如持续发热、感染经久不愈、出血、贫血、骨和关节疼痛、肝脾肿大等 。
- 淋巴结反应性增生
如果本文对您有所帮助也请转发给您的家人朋友 , 让我们一起认识肿瘤 , 远离恐惧!关注健医园获取更多专业知识 , 让您的生活更加健康 。
转发有礼:转发本篇文章至朋友圈凭截图联系客服领取精美文创礼品一份!
- 高血压|寿命长的人,往往几处的“毛”会比较旺盛,不妨自测看看
- 患上高血压,时刻牢记降压“三字诀”,血压平稳,远离并发症
- 人类血管紧张素转换酶全长结构首次测定,有助改进高血压、心脏病等药物设计
- 再三提醒:高血压想要避免脑出血,4种食物再喜欢吃,也要管住嘴
- 【健康科普】吸烟升高血压!吸烟越多,高血压风险越高!
- 54岁大爷突发高血压离世,长期高血压的5大危害,你知道几个?
- 年轻人得了高血压,不妨尝试这6种方法,或许血压不难降下来
- 高血压|它是咽喉的“润滑剂”,有咽炎的人常喝,止痛抗菌,喉咙变清爽
- 肾脏合并高血压,如何把危害降到最低?做好4点,帮你挺过难关
- 高血压有“3怕”,多吃“3物”喝“3水”,血压自己降下来!
