
文章图片

文章图片

王先生今年35岁了 , 他平时身体还不错 。 然而 , 前一段时间 , 他出现了鼻塞、流鼻涕、胸痛的症状 。 无奈之下 , 他就去医院就诊了 。 本以为 , 去医院只需要抽血化验一下就可以了 , 结果还做了胸部CT的检查 。 整个下来 , 花了1000多块钱 , 这让王先生难以接受 。 因此 , 他就跟妻子抱怨了一下 , 并且说了文章开头的那句话 。
很多朋友可能都有和王先生一样的困惑:还没有治病 , 却提前花了很多钱;有时候 , 做完了检查 , 把检查结果拿给医生看 , 结果医生说 , 没有什么大问题 , 回家吃点药就可以了 。 面对这些价格不菲的检查费用 , 很多人都强烈要求医院取消检查费用 。
其实 , 作为医务人员 , 我每次去医院的时候 , 也觉得检查费用太贵了 , 也希望取消检查费用 。 但是 , 如果真的取消检查费用 , 会带来什么后果呢?为了解决大家的疑惑 , 今天医者良言就好好跟大家聊一聊个人的一些看法 。
1.医院的检查费用为什么这么贵?
【骨折|医院如果取消检查费用会发生什么?医生坦言:会出现这3大问题】有点生活经验的朋友应该知道 , 仪器越先进 , 一般来说检查费用也是越高的 。 就拿胸透来说吧 , 一般的医院一个部位的收费是几十元;而CT检查 , 一个部位的价格在300元左右 , 增强CT的价格在1000元左右 。 简单来说 , 仪器的检查费用和仪器本身的价格是相关的 。 就拿PETCT来说吧 , 一台这样的仪器 , 目前价格在2000万左右 , 做一次这样的检查 , 价格也在1万左右 。
与此同时 , 检查费用的高低 , 还和检查方法有关 。 就拿血型检查来说吧 , 使用试管法检测 , 只需要25元左右 , 如果使用全自动卡氏法检查血型 , 那价格就上涨到100元左右 。 说到这里 , 估计会有朋友说了 , 既然有便宜的检查方法 , 为什么不用便宜的呢?其实 , 这个主要是因为便宜的检测方法操作复杂 , 而且效率低、耗费的时间比较长、准确率也不高 。 正是因为这些缺点 , 所以便宜的检测方法容易被淘汰 。
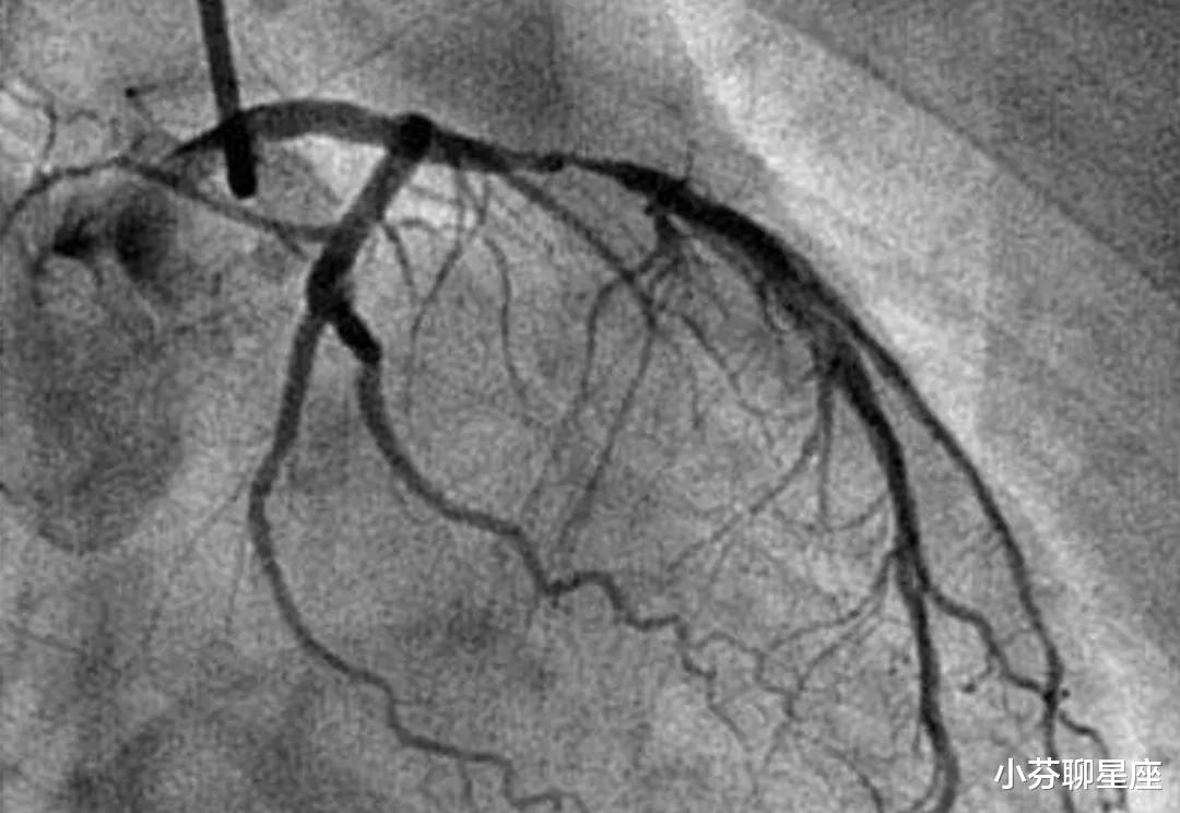
另外 , 很多检查使用的都是一次性耗材 , 而且这些耗材的价格本身就贵 。 就拿冠状动脉造影来说吧 , 这个检查的费用在5000元左右 。 之所以贵 , 一方面是因为它需要用到很多的一次性耗材 , 另一方面这些一次性耗材的价格比一般的一次性耗材高得多 。
除此之外 , 医院的耗电也是比较厉害的 。 就拿1.5T的核磁共振来说吧 , 一年即便让它待机 , 一个病人也不检查 , 那它也要消耗几十万度电 。 更何况 , 医院用电的仪器还有很多 , 一年下来 , 用电也是一个不小的开销 。
2.如果医院取消了全部的检查费用 , 将会出现什么样的后果呢??如果取消了所有的检查费 , 那医院的大多数检查也会被取消:
虽然说国家每年都会给公立医院拨款 , 但是这个钱是比较少的 , 只有几百万 。 这点钱对于个人来说可能是不少的 , 但是对于医院来说无异于杯水车薪 , 而且就目前来说 , 大多数的公立医院都是自负盈亏的 。
如果取消了检查费用 , 那医院就失去了主要的收入来源 , 医院也就没有钱去购买先进的仪器和检查试剂 。
- 夜间门诊成医院潮流:有医生加班到晚上 9 点,只多看 3 个病人
- 烟台毓璜顶医院与海阳市人民医院举行医联体签约仪式
- 淄博市中心医院召开感染楼、科研楼建设情况调度会
- 新华医院“夜门诊”回归 首设成人科室错峰就诊
- 区人民医院开展提升群众满意度大型义诊志愿服务活动
- 医问杭州口腔医院城西院区李小凤:哪些情况下应该尽早进行种植牙治疗?
- 义诊进企业,邹城市人民医院专家上门送健康
- 市属医院推402个项目改善医疗服务
- 郑州仁济医院开展2022年度金牌员工父母孝心文化旅游活动
- 肝脏|奉劝癌友:如果身体吃得消,常做2个运动!好处不少
