
文章图片

文章图片

孩子的牙齿健康问题一直是家长们比较关心的话题 , 毕竟我们的生活水平提高了 , 日常生活中孩子们能接触到的含“糖”食物也很多 , 再加上不科学的刷牙习惯等等 , 导致不少孩子都患有龋齿等牙齿问题 。
【牙齿|10岁娃用“牙洞修复牙膏”后损失6颗牙,这种智商税可别再交了】根据第四次全国口腔健康流行病学的调查显示 , 我国3岁儿童的患龋率就达到了50.8% , 5岁为71.9% , 12~15岁恒牙患龋率为41.9% 。 也就是说 , 3岁以上的孩子基本上每两个孩子就有一个患龋齿 , 这样的数据不可谓不严峻 。
这也导致了不少家长们的焦虑 , 担心孩子牙齿不好影响饮食、影响健康 , 乃至会影响到孩子的颜值问题 。 因此变着法的想给孩子保护好牙齿 , 已经患龋齿的就想着如何“补救” 。
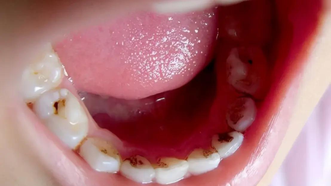
前段时间 , 网上就出现了一款号称可以“修复牙洞”的牙膏 , 受到不少家长追捧 , 杭州的一位宝妈也是其中一员 。
据了解 , 大概是去年的时候 , 这位宝妈发现自家10岁的女儿有1颗牙有轻微龋齿现象 , 于是这位宝妈便网购了一款“牙洞修复牙膏” , 商家号称这款牙膏具有所谓的“再生硅”等活性成分 , 能在牙齿表面形成一层结晶体 , 从而逐渐把牙洞填平 , 达到修复牙齿的效果 。
但事实上效果真的有这么神奇吗?
这位宝妈家的10岁女儿在用掉了好几支这种所谓的修复牙膏后 , 不仅牙洞没见修复 , 反而却是发展成了6颗蛀牙 。
对此 , 牙科专家表示 , 牙体硬组织是无法通过化学剂再生的 , 因此这什么“牙洞修复牙膏”是妥妥的智商税 , 建议成年人每年、儿童每3个月做一次牙齿检查 。
其实 , 家长们想让孩子拥有一口健康牙齿的迫切心情是可以理解的 , 但类似于这种所谓的用修复牙膏刷一刷就能让牙齿修复 , 拥有一口好牙的事情 , 建议家长们还是要睁大眼睛做好鉴别 , 被骗点钱事小 , 但导致孩子的牙齿持续恶化就得不偿失了 。
那么 , 怎样才能科学地让孩子远离蛀牙 , 拥有健康的牙齿呢?这5个妙招送给大家 。
一、不同年龄段均应注意牙齿清洁1、没长牙前
对于还没长牙的宝宝来说 , 宝爸宝妈可以每天在宝宝喝完奶后 , 用纱布或棉签蘸点热水 , 轻轻抚摩擦拭宝宝的牙龈 , 对牙床可以稍加按摩 , 既给宝宝清洁了口腔 , 又做了牙龈按摩 。
2、出牙后
① 刚出牙至2岁
建议每天应至少在睡前刷一次牙 , 注意选用小宝宝专用的软毛牙刷 , 同时注意宝宝使用牙膏的安全剂量一天应不超过一颗豌豆大小 。
② 2岁之后
建议宝宝早晚各刷一次牙 , 可以逐步过渡到用儿童牙刷 , 每次刷牙的牙膏用量大约在一颗豌豆大小即可 。
③ 6岁以上
可以更换更硬 , 毛刷更长的牙刷了 。 而且其实早餐后刷牙要比餐前刷效果好 。 对于习惯了奶睡 , 喜欢吃甜食的孩子来说 , 还可以酌情增加刷牙的次数 。
二、控制甜食摄入家长需要注意的是 , 在孩子的日常饮食中 , 诸如果汁、含糖饮料、糖果(尤其粘性软糖、维生素软糖)等甜食都会腐蚀牙釉质并引起蛀牙 。
因此 , 家长应注意尽量别让孩子吃太多这类的食物 , 吃完后也应及时漱口或刷牙 , 以免口腔酸度迅速增加 , 形成龋齿 。
- 10岁娃用“牙洞修复牙膏”后损失6颗牙,这种智商税可别再交了
- 农村娃野炊的乐趣在哪里?
- 中年牙齿松动是拔还是不拔,中医上医治未病通常是这3个等级
- 一天刷5次牙齿,牙齿会更加健康吗?
- 孩子牙齿健康养成良好的刷牙习惯,家长们要注意了
- 牙齿|中年牙痛就必须受拔牙之苦?中医表明:每天使用两次它,牙齿稳固如生根
- 为什么从牙齿上抠下来的东西臭气熏天,而在自己嘴巴里却闻不到?
- 扭扭车会影响孩子骨骼发育?还能给娃玩吗?
- 重庆男童被奶奶活活喂成畸形!婆媳反目:谁让你天天给娃喝这个
- 牙齿|中年以后,出现牙龈萎缩、牙齿松动、牙缝变大,中医:有小妙招,2分钟学会
