
文章图片

文章图片
【主动脉夹层|一招除“虎患”!石门县人民医院成功救治两例主动脉夹层患者】
文章图片
生活中 , 有一种食物叫夹层饼干 , 味道一般都很美 , 很甜;
但是 , 我们身体的一种夹层 , 叫动脉夹层 , 很痛苦 , 很凶险!
病来如山倒 , 夹层猛如虎 , 主动脉夹层是心血管疾病的“灾难性”危急重症 , 如不及时治疗 , 48小时内死亡率约37%~50% , 甚至72% , 一周内死亡率60%~70%甚至91% 。 统计发现95%以上主动脉夹层患者合并有高血压 。
主动脉夹层临床表现复杂 , 特点是起病急、进展快、死亡率高 。 常见的典型表现是“突发”、“剧痛” , 即突发前胸或胸背部持续性、撕裂样或刀割样剧痛 。 随着发病率的逐年上升、医疗检查手段的不断提高 , 该病的检出率越来越高 。
近日 , 石门县人民医院心血管内科十八病区成功为两名患者通过介入手术解除主动脉夹层的“虎患” , 挽救了宝贵生命 。
李某 , 男 , 42岁 , 大货车司机 , 喝饮料时突然出现胸、背部剧烈疼痛 , 呈撕裂样 , 并向背部放射 , 伴大汗 , 持续约1分钟后 , 第2天疼痛逐渐转变为持续性上腹部胀痛 , 伴活动后气促 , 休息后稍缓解 。
病例一:
危险突然降临 , 自认为只是简单的“肚子痛” , 自己购买止痛药、助消化药物治疗 。 症状无任何改善 , 遂以上腹饱胀不适为主诉来石门县人民医院看诊 。 接诊的是石门县人民医院胃肠外科十病区副主任李涛医师 , “腹痛牵扯背部、血压高、肥胖…” , 李主任心里疑问 , 虽然腹部饱胀 , 但不像消化系统问题 , 难道是夹层?
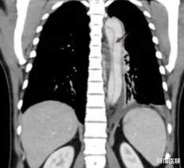
为了患者安全 , 李主任直接安排了增强CT检查 , 结果证实就是“主动脉夹层Stanford B型” , 立即建议到心血管十八病区住院治疗 , 入院后血压:左上肢222/142mmHg右上肢216/138mmHg , 凶险至极!
周某 , 女 , 70岁 , 在家劳作时突发背部剧烈疼痛 , 呈持续性 , 活动受限 , 伴恶心 , 呕吐两次 。 因既往有十余年背痛病史 , 遂来石门县人民医院康复科门诊就诊 , 接诊医师正是石门县人民医院康复科唐植纲主任 , 经验丰富的唐主任当时就觉得“这次背痛不一般!” 。 立即予以胸部X线检查 , 结果提示:心影明显增大 , 主动脉增宽 , 主动脉夹层?多个胸椎及L1椎体压缩改变 。
病例二:
那是否考虑主动脉夹层?还是说背痛是因为胸腰椎压缩性骨折引起?根据患者症状 , 结合血压181/103mmHg, 唐主任认为首先应该排除致命性心血管疾病“主动脉夹层” , 马上建议患者至心血管内科十八病区进一步诊治 , CTA明确诊断为B型夹层 。
这两名患者真的很幸运 , 和死神擦肩而幸存 , 然后又遇到石门县人民医院唐植纲主任、李涛主任这么经验丰富的医生 , 在各种复杂而不典型的临床表现中通过仔细的分析、识别了真假 , 快速的明确了主动脉夹层这一“潜伏的虎患” , 为患者争取了救治时间 。
介入室 , 很多人走路都害怕经过的地方 , 因为“小心电离辐射”这个显眼的标识总让人感觉“毛骨悚然” 。 但有一群人确毅然天天待在里面 , 并且无论何时 , 随叫随到 , 身披铅甲战衣 , 手握导管导丝 , 在无数散在的X射线中不顾自身安危和死神抢生机 , 他们就是我院介入团队 。
介入手术室:
- 做凉拌藕片,一焯水就发黑怎么办?教您一招,藕片焯水后雪白脆嫩
- 凉拌皮蛋总有股腥味?教你一招,好吃又爽口,一点都不腥!
- 脑梗|胃动力不足,腹胀、大便干!教你一招消食化积,恢复脾胃运化功能
- 教你一个让肉变得细嫩又好嚼的独门配方,学会这一招,做啥肉都不
- 水果|中医“十全大补”的方子!气虚、血虚、阳虚,一招拿下
- 熬夜刷手机,52岁女子深夜中风,警惕颈动脉夹层
- 买排骨不要只看肉多,教你一招,挑的排骨新鲜又好吃
- 新型冠状肺炎|体质弱、抵抗力差易生病,中医教你一招,让你提高免疫力!
- 一招没做对,瞬间老三岁!请收好这份春夏防晒秘籍
- 这种常见家具竟是颈椎病元凶!整脊专家只用一招,调节脊椎、赶走颈椎病
