
文章图片

文章图片

文章图片

尽管体检的重要性和必要性已经深入人心 , 但令人遗憾的是 , 仍有一部分人 , 尤其是年轻人 , 对此置若罔闻 。
他们或许觉得自己年轻力壮 , 身体如铁打般结实 , 无需过多关注身体的微妙变化 。 然而 , 我们必须清醒地认识到 , 许多疾病在初期往往是无症状的 , 只有通过系统而全面的体检 , 才能发现其踪迹 。
只有定期进行体检 , 才能及时发现身体的微小异常 , 从而采取有效的干预措施 , 防止病情进一步恶化 。
反之 , 如果我们忽视了身体发出的警示信号 , 那些原本可以被早期控制的疾病 , 可能会悄然发展 , 最终酿成无法挽回的后果 。
因此 , 我们呼吁每一个人 , 尤其是年轻人 , 要摒弃侥幸心理 , 正视体检的重要性 。 不要等到身体出现问题时才后悔莫及 , 而是应该通过定期体检 , 及时了解自己的身体状况 , 做到防患于未然 。
然而 , 体检报告上那么多的检查项目 , 到底哪些最重要?哪几项是必须要检查的呢?懂行的医生直言 , 这四项指标只要正常身体基本无大碍 。
懂行的医生坦言:体检这4项指标正常 , 身体基本无大碍血常规
血常规 , 作为医学检查中最基本、最常见的一项检测 , 虽然看似简单 , 但实则蕴含着巨大的诊断价值 。
它就像一扇窥探人体内部状况的窗户 , 通过对外周血液中各种细胞的数量和形态进行细致分析 , 能够为我们揭示出人体健康的奥秘 。
血常规检测不仅简单易行 , 而且成本相对较低 , 因此在日常医疗实践中得到了广泛应用 。 然而 , 这不意味着我们可以轻视其重要性 。
相反 , 血常规的每一项指标都代表着人体内部环境的微妙变化 , 这些变化可能预示着潜在的健康问题 。
例如 , 白细胞数量的增减可以反映人体免疫系统的活跃程度 , 红细胞和血红蛋白的变化则可以揭示是否存在贫血等血液系统疾病 。 而血小板的数量和质量 , 更是直接关系到凝血功能 , 对于预防出血性疾病具有重要意义 。
因此 , 我们在面对血常规检测报告时 , 应该仔细阅读每一项指标 , 并与正常参考值进行对比分析 。 只有这样 , 我们才能及时发现潜在的健康风险 。
高分辨率CT
高分辨率CT , 即High-Resolution Computed Tomography , 简称HRCT , 是一种先进的医学影像技术 , 主要用于胸腹部等部位的详细检查 。
这种CT技术以其高分辨率、高清晰度和高对比度的特点 , 为医生提供了更为精确的诊断依据 。
在进行高分辨率CT扫描时 , 机器会发出高能量的X射线 , 这些射线穿透人体后 , 通过探测器捕捉并记录不同组织对X射线的吸收程度 , 最终生成详细的图像 。
这种图像能够清晰地显示胸腹部内部的细微结构 , 如肺部的小气道、血管和胸膜等 , 从而帮助医生更准确地诊断各种疾病 。
高分辨率CT在医学领域的应用非常广泛 。 在肺部疾病的诊断中 , HRCT能够准确识别肺结节、肺癌、肺气肿等病变 , 为早期治疗提供重要依据 。
在腹部疾病的诊断中 , HRCT则可以清晰地显示肝脏、胆囊、胰腺等器官的结构和病变情况 , 为临床诊断和治疗提供有力支持 。
此外 , 高分辨率CT还具有无创伤、无痛苦、检查时间短等优点 , 极大地提高了患者的检查体验 。
同时 , 随着技术的不断进步 , 高分辨率CT的扫描速度和图像质量也在不断提高 , 为医学诊断和治疗提供了更为可靠的技术保障 。
胃肠镜检查
胃肠镜检查是现代医学中一种重要的诊断手段 , 它能够帮助医生直接观察患者胃肠道内部的病变情况 , 从而准确诊断各种胃肠道疾病 。 这种检查方法具有高度的准确性和可靠性 , 因此在临床上得到了广泛的应用 。
在进行胃肠镜检查时 , 医生会使用一根细长的镜子 , 通过患者的口腔或肛门进入胃肠道 , 观察黏膜表面的情况 。
这种检查方法不仅可以发现早期的胃肠道疾病 , 如胃炎、胃溃疡、肠息肉等 , 还能够发现一些隐匿性的病变 , 如早期癌症等 。 因此 , 胃肠镜检查对于胃肠道疾病的诊断和治疗具有重要的意义 。
然而 , 胃肠镜检查也有一定的风险和不适感 。 在检查过程中 , 患者可能会感到不适或疼痛 , 而且有一定的并发症风险 , 如穿孔、出血等 。
因此 , 在进行胃肠镜检查前 , 医生需要对患者进行全面的评估 , 确保患者适合进行这种检查 , 并采取相应的措施来减少风险和不适感 。
为了减轻患者的不适感和提高检查的准确性 , 现代医学不断推动着胃肠镜检查技术的创新和改进 。
【懂行的医生坦言:体检这4项指标正常,身体基本无大碍】如今 , 无痛胃肠镜、胶囊内镜等新技术已经广泛应用于临床 , 这些技术不仅减轻了患者的不适感 , 还提高了检查的准确性和舒适度 。
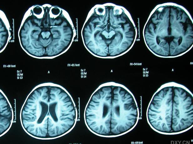
颅脑磁共振
颅脑磁共振这项先进的影像技术 , 不仅具备极高的分辨率和精准的定位能力 , 更能在无创伤的前提下 , 深入探索人脑的内部结构 。
颅脑磁共振成像技术的诞生 , 开启了神经科学研究的新篇章 , 为众多神经系统疾病的诊断提供了强有力的支持 。
颅脑磁共振通过捕捉脑部组织的微妙变化 , 能够精准地反映出脑部疾病的病理过程 。 无论是脑梗塞、脑出血 , 还是脑肿瘤、脑炎等神经系统疾病 , 颅脑磁共振都能以其独特的视角 , 为医生提供详尽的病变信息 。
医生们可以依据这些图像 , 对病情进行准确判断 , 从而制定出更为科学合理的治疗方案 。 此外 , 颅脑磁共振在脑外伤、脑退行性疾病等领域也发挥着不可替代的作用 。
它不仅能够发现脑部结构的微小变化 , 还能通过功能成像技术 , 揭示脑部功能的异常 。 这使得医生们能够更全面地了解患者的病情 , 为患者提供更为个性化的治疗方案 。
- 65岁女子睡前发冷,3小时去世,医生愤怒指向家人:这是蓄意谋杀
- 34岁朴信惠《低谷医生》,产后身材管理依然在线,自称瘦身有妙招
- 医生叮嘱:步入老年,肌肉流失快!不想老了干瘪,建议常做2件事
- 医生多次提醒:老人起床,宁愿饿着,也要忍着别吃“3种早餐”
- 肾衰来临,小便先知!医生提醒:小便出现3种表现,或是肾衰信号
- 大妈每天用蒲公英泡水喝,半年后去体检,医生称赞:身体状况不错
- 喝咖啡能减肥?邱医生揭秘咖啡与减重之间的真相!
- 30岁女子肝癌晚期,从不抽烟喝酒,医生询问知道:晚上常做3件事
- 一家5口,肺里爬满千条虫子!医生:这道菜,你可能也吃过!
- 戒烟后变黑的肺能白回来吗?患癌几率能下降吗?医生告诉你真相
