
文章图片

文章图片

文章图片

2023 年 4 月的一个下午 , 四川大学华西医院血管外科接到一个特殊的转诊:患者吃鱼被刺卡住 , 外院急诊开胸手术找鱼刺 , 没找着 。 而推入血管外科病房的患者 , 除了胸部一道手术伤口疼痛之外 , 并无发热、腹痛腹胀等情况 , 生命体征一切平稳 , 与常人无异 。 这让医生们有些摸不着头脑:因为一根小小的鱼刺急诊开胸 , 还没找到 , 并且要来华西接着找?
吃了块鱼肉之后 , 却需要急诊开胸
时间回到 7 天前 , 患者最初前往医院 , 却并不是因为这根鱼刺 。 因慢性胃炎 , 他在当地医院预约了住院、进行胃镜检查 。 在入院采集病史时 , 当地医生注意到 , 该患者从 2 天前就开始感到胸骨后隐痛 , 此外无任何不适 。 这在临床上存在心脏方面疾病、反流性食管炎等多种可能 。 很快 , 心电图及查血结果排除了心脏因素 , 而关于反流性食管炎的推测 , 仍需借助胃镜探查 。 于是 , 患者按照本来的预约进行了胃镜检查 , 但检查结果仅显示:提示胃炎可能 , 其他无任何异常 , 更无反流性食管炎的典型征象 。
【华西真实病例!拔一根鱼刺,这群中国医生竟然发了 SCI】只是慢性胃炎 , 并不能解释患者持续的胸部隐痛 。 在进一步的胸部 CT 探查下 , 众人看到了惊险的一幕:在患者的气管分叉处下方 , 有一个高密度的尖锐异物 , 并且该异物已穿过胸主动脉 , 形成了食管主动脉瘘 。
胸部断层 CT 影像:箭头所指白色条状物为鱼刺
这让医生们迅速对病情有了新的评估:胸部隐痛只是表象 , 患者随时可能大出血并危及生命 。 虽然患者目前只感到胸部隐痛 , 但异物如果不尽快去除、破口持续增大(一旦继发感染或者鱼刺再次移位) , 则可能会导致纵隔出血、主动脉破裂大出血、主动脉食管瘘消化道大出血等并发症;另一方面 , 也可能损伤主动脉内膜形成主动脉夹层等 。 以上任何一种情况都可能随时出现 , 并危及生命 。
但这根缝衣针大小的异物 , 是从哪儿来的呢?
震惊之余 , 医生再次向患者追问病史 , 发现了始作俑者:一根鱼刺 。 在入院前 2 天 , 患者曾吃鱼被刺卡住 。 在立即大口吞咽馒头后 , 患者喉部的异物感消失 , 便以为鱼刺已经脱落 。 鱼刺当时确实是从食道脱落 , 但却并不像患者及家属想的「跟馒头一起顺进胃里、一块被消化」 , 而是在馒头的挤压下 , 穿破食管后 , 扎进了胸主动脉 , 形成主动脉食管瘘 。 目前的情形 , 需要尽快开胸手术、把鱼刺取出 , 以防继发感染、形成主动脉食管瘘消化道大出血甚至主动脉大出血等并发症危及生命 。 还没开始商讨手术细节 , 医生们就遇到了第一道难题:面对一个健步走进医院、只是想做胃镜的患者 , 突然告知其需要马上急诊开胸手术?病情危急之下 , 当地医生们直接给患者及家属展示 CT 检查影像 , 并解释了目前病情的凶险情况 。 虽然感到意外 , 但考虑到这根鱼刺就像体内的不定时炸弹 , 随时可能危及生命 , 患者还是接受了手术建议 , 尽快将其取出 。 于是 , 在 CT 检查结果出来的当晚 , 患者被推上台 , 进行一次特殊的开胸手术 。
胸开了 , 鱼刺却找不到了?
但接下来的情况 , 却让手术室的医生们陷入了慌乱:胸开了 , 鱼刺呢?按照计划开胸之后 , 手术团队只找到了鱼刺刺入主动脉弓部位处外膜下小血肿 , 并未发现 CT 上显示的鱼刺 。 再进一步对本次手术可探查的范围仔细搜寻后 , 仍然没有发现鱼刺的踪迹 。 治疗团队立即与家属沟通、达成一致:先修补损伤的主动脉 , 尽快结束手术 。 在术后重新进行 CT 扫描 , 寻找鱼刺的去向 。 但术后 , 全身 CT 扫描结果仅显示患者的腹腔动脉内存在可疑异物 , 但并不能确定其性质和详细位置 。
手术结束了 , 患者接下来的病情走向却是一个未知数 。 鱼刺并不固定 , 并且可能在转运或患者的移动过程中移位 , 出现多种可能 。 如果经主动脉再次刺入食管掉入消化道内 , 是较为乐观的情况 。 但如果经主动脉掉入血管、随血流到达身体其他地方 , 则可能再次穿破局部动脉 , 导致相应部位动脉血管损伤引起活动性出血或形成假性动脉瘤、甚至损伤血管附近周围组织或器官可能 。
治疗团队在几经权衡之下 , 一通转诊电话 , 拨到了四川大学华西医院血管外科 。
鱼刺在全身血管内游走的情况 , 实在是过于罕见 。 血管外科黄斌教授、郭强副教授团队在梳理既往已发表的鱼刺卡喉相关案例发现 , 有鱼刺经消化道刺入主动脉或肝脏、导致出血或脓肿的 , 但尚无鱼刺经消化道刺入主动脉后 , 随血流在身体内「游走」的案例 。 在治疗团队看来 , 顺利取出鱼刺的前提 , 是要先对它进行精确的定位 。 但患者腹部查体均无阳性体征 , 初步 CT 扫描对于鱼刺的显影模糊不清 。 于是 , 治疗团队立即组织了多学科会诊 。
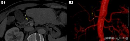
放射科对患者的 CT 图像进行了处理及三维重建后 , 发现鱼刺正位于肝动脉内 。 黄斌教授立即联系超声科进一步定位 , 看鱼刺是否损伤或穿破了肝动脉或造成肝脏血运障碍 。 超声检查和胸腹主动脉 CT 血管造影均提示:肝动脉内有鱼骨样异物 , 暂时未对血管壁造成损伤 , 并对鱼刺的确切位置进行了成像定位 。
图 B1、B2:胸腹 CT 血管造影检查结果:鱼刺位于箭头所指位置
图 C1、C2:超声检查结果提示肝动脉内存在鱼骨样异物
这一结果令众人惊讶:过了 3 天 , 鱼刺从主动脉弓「游」到了肝动脉?
突发!临时推上手术台
治疗团队推测 , 由于主动脉直径较大 , 且动脉内血液流速快 , 鱼刺掉入主动脉后便随着血流的冲刷到达远端动脉;在肝动脉停止 , 可能是肝动脉走行有一定的弧度并非直线 , 还有就是鱼刺刺激肝动脉引起肝动脉痉挛导致动脉收缩至鱼刺相近大小 。 得知鱼刺在肝动脉后 , 是否立即手术取出 , 治疗团队内的医生们有了不一样的看法 。 一方面 , 鱼刺可能并不会一直停留在肝动脉 , 如果相隔时间再长一些 , 它可能会穿破肝动脉 , 或者随着血流流向更细、与鱼刺大小更相近的肝动脉分支内 , 需要尽快手术取出 。 但黄斌教授在请示赵纪春主任并组织全科讨论之后 , 发现患者目前并不适合立即二次手术:几天前刚接受剖胸探查术 。 并且目前患者在转入后一切生命体征都较为平稳 , 除了开胸术后伤口疼痛以外 , 无发热、腹痛腹胀等不适 , 鱼刺此时在肝动脉内也并没有造成血管壁的损伤 , 且肝动脉直径较小 , 再次移位的可能性相对较低 。
多番讨论后 , 治疗组决定保守治疗一周后再次进行第二次手术 。 家属在了解患者目前的病情、预期手术方案时 , 也表示赞同:「短时间内实在是经不起第二次折腾了 。 但计划赶不上变化 , 住进华西血管外科病房的第 5 天 , 患者突然出现了右上腹刺痛、轻压痛 。 治疗团队怀疑鱼刺出现了移位 , 并且极有可能正在损伤血管壁 。 黄斌立即与家属进行了紧急沟通 , 需要提前手术 , 并且这次开刀可能也找不到鱼刺:鱼刺本身可能产生了移位 , 在术中随着医生的操作 , 也可能随时游走到其他地方 。 最终 , 家属选择听从医生的建议 , 将手术提前:此时不手术 , 之后想要取出说不定更难 。 当晚 , 患者被推进了手术间 。 待患者麻醉完成后 , 主刀医生黄斌从右肋下切口进入肝动脉——这次手术 , 治疗团队选择了创伤相对更大的传统剖腹探查 。 腔镜手术虽然相较于传统剖开创伤更小 , 但是气腹状态和腔镜下游离肝动脉过程中有可能导致鱼刺移位或损伤动脉 , 而且如果鱼刺再次移位也不方便扩大探查范围以及通过术中彩超监测定位 。 开腹后 , 黄斌医生依次分离出肝动脉近、远端 , 并预先环绕血管外牵引带防止、控制可能的出血 , 并在术区肝动脉通过触摸寻找鱼刺的存在 。 如果选择腔镜 , 此时可能是另一番景象:主刀医生在腔镜手术中会失去触觉 , 仅能靠视觉去从显示屏上辨别鱼刺;但如果鱼刺没有造成血管的损伤 , 从血管外表看 , 难以准确定位鱼刺位置 。 手术台上 , 黄斌医生借助超声引导 , 一步步裸化动脉、用手触摸......最终准确的定位到了鱼刺所在的位置:这根长约 2cm 的鱼刺 , 正在穿过肝动脉 。
术中所见:鱼刺已经刺破肝动脉
这让大家松了口气:总算是找到了 。 黄斌医生迅速取出鱼刺 , 并对破损的肝动脉进行了缝合与修复 , 3 小时后 , 手术顺利结束 。 手术后 , 患者腹痛症状逐渐消失 , 伤口愈合情况良好 , 第 7 天便出院 。 术后半年随访 , 患者的主动脉及肝动脉愈合良好 , 并未出现假性动脉瘤 , 吻合口瘘等并发症 。 而这根历经两次手术才取出的鱼刺 , 被治疗团队保存了下来 。
测量取出的鱼刺 , 长约 2cm
- 巴黎这一夜,周冬雨被嘲纸片人,王一博老气横秋,刘亦菲手臂赘肉最真实
- 为什么有的人会看见“鬼”,这种东西是真实存在的吗?告诉你真相
- 克唑替尼治疗ALK阳性非小细胞肺癌真实世界疗效数据
- “我的疼痛和难受是真实存在的” 心理疾病躯体化表现让多少人在医院“跑断腿”
- 为什么有的人会看见“鬼”,它们真实存在吗?告诉你“鬼”的真相
- 【高尚病例科普】男子体检发现胼胝体周曲线型脂肪瘤
- 警惕!随着病例增加,“白肺综合症”正在席卷欧洲
- 揭秘跑步圈的假面舞会:“伪跑友”的真实面目!
- 64岁依然决定要做面部提升,太拼了,刚10天,真实全过程实拍!
- 病例分享:胃寒胃痛很多年,被一个中医小方法治好了
