
文章图片

文章图片

文章图片
高血压 , 这个看似普通的病症 , 实则是许多老年人的“心腹大患” 。 它像一个隐形的杀手 , 悄然无声地侵蚀着人们的健康 。
据中国高血压年会上公布的数据显示 , 中国的高血压患者数量庞大 , 达到了惊人的3亿左右 。 这相当于每4个成人中就有1人深受高血压的困扰 。
然而 , 我国高血压患者的知晓率却极低 , 这意味着许多患者并不知道自己已经患病 。 更令人担忧的是 , 得到有效治疗的患者仅有9% 。
长期高血压得不到控制 , 会导致很多严重的并发症 。 它是很多脑出血发生的主要诱因 , 对患者的生命安全造成了巨大的威胁 。
01
临床上 , 血压可以分为三级
一级高血压是指高压在140~160mmHg之间 , 低压在90~100mmHg之间的情况 。 对于大多数患者而言 , 通过调整日常生活方式 , 如合理饮食、适量运动、戒烟限酒等 , 可以将血压控制在正常范围内 。 然而 , 如果无法有效控制血压 , 就需要在医生的指导下使用药物治疗 。
二级高血压是指高压在160~180mmHg之间 , 低压在100~110mmHg之间的情况 。 此时 , 患者的血压已经较高 , 需要及时在医生的指导下使用降压药物治疗 。
如果不及时治疗 , 高血压可能会引发其他健康问题 , 如心脏病、脑血管病等 。 对于二级高血压患者 , 除了药物治疗外 , 同样需要调整日常生活方式 , 如限制盐的摄入、控制体重等 。
三级高血压是指高压大于等于180mmHg , 低压大于等于110mmHg的情况 。 此时 , 患者的血压已经非常高 , 需要及时在医生的指导下使用降压药物治疗 。
如果不及时治疗 , 高血压可能会引发严重的健康问题 。 对于三级高血压患者 , 除了药物治疗外 , 同样需要调整日常生活方式 , 如限制盐的摄入、控制体重等 。 同时 , 还需要注意预防并发症的发生 , 如定期检查、及时治疗等 。
02
血压多高 , 会发生脑出血?医生坦言:最好不要超出这个数值
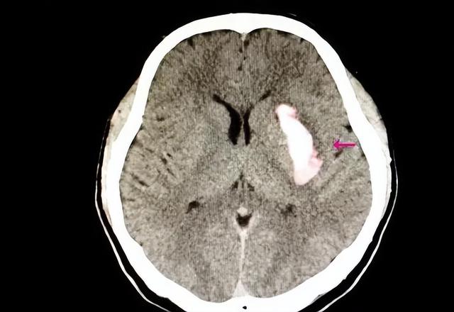
脑出血 , 也被称为脑溢血 , 是一种非常严重的脑血管疾病 。 它通常是由于脑实质内部的血管发生破裂所引起的 。
这种破裂往往不是由外伤引起的 , 而是由于高血压所导致的小动脉硬化破裂 。 高血压实际上是导致脑出血最常见的因素之一 。 超过一半的脑出血病例都与高血压有关 。
人体的脑血管壁原本就很薄 , 而对于高血压患者来说 , 其脑血管壁更是变得异常脆弱 。 当血压突然升高时 , 这些薄弱的血管就可能破裂 , 引发脑出血 。
除此之外 , 一些日常生活中的常见因素 , 如用力排便、严寒的天气或情绪激动等 , 也可能成为脑出血的诱因 。 这些情况可能导致血管出现硬化和破裂 , 进而引发脑出血 。
那么 , 血压高到多少时可能会发生脑出血呢?对于这个问题 , 广东药科大学附属三院功能神经科公众号曾发文指出 , 没有一个标准的答案能适用于所有情况 。
因为每个人的体质、血压水平和血管条件都是不同的 。 尽管如此 , 一般认为 , 如果血压长期维持在180/100mmHg以上的高水平 , 那么发生脑出血的风险就会大大增加 。
因此 , 对于高血压患者来说 , 将血压控制在这样一个相对安全的范围内是非常重要的 。 控制血压不仅有助于预防脑出血 , 还有利于维护整体的健康状况 。
03
日常如何防止脑出血?4个预防措施 , 要知道
预防脑出血是一项重要的任务 , 因为它可能导致严重的健康问题甚至死亡 。 以下是一些实用的方法 , 可以帮助你预防脑出血:
1、控制血压:高血压是脑出血的主要原因之一 。 因此 , 定期检查并控制血压是非常重要的 。 遵循医生的建议 , 坚持服用降压药物 , 并尝试采取健康的生活方式 , 如饮食均衡、适量运动和减少压力 。
2、健康饮食:均衡的饮食有助于降低脑出血的风险 。 保持低盐、低脂肪、高纤维的饮食习惯 , 多吃蔬菜、水果、全谷类食物和富含蛋白质的食物 。 限制饮酒和戒烟也是预防脑出血的重要措施 。
3、适度运动:定期进行适度的体育活动可以帮助降低血压和保持健康的体重 。 根据医生的建议 , 选择适合自己的运动方式 , 并逐渐增加运动强度和时间 。
【血压多高,会发生脑出血?医生直言:最好不要超出这个数值】4、控制其他风险因素:糖尿病、高胆固醇和其他心血管疾病也是脑出血的风险因素 。 控制这些疾病的发展 , 遵循医生的建议和治疗方案 , 也可以降低脑出血的风险 。
- 健身也要悠着点,运动过度竟会影响脂肪燃烧
- 染发真的会致癌?怎样减少染发剂对身体的伤害?提示:做好这3点
- 半年用一次,平稳控血压!超长效降压药快来了,你一定要知道的3件事
- 洋葱是血管清道夫,降血压?错了!提醒:这3种食物都不能降血压
- 医生再三强调:高血压患者少碰这两类水果,很多人不听劝,还在吃
- “伤胃水果”被揪出,3种水果可能会加重胃病,再喜欢也建议少碰
- 哈佛大学研究发现:喝粥与死亡率的关系,长期喝粥会更长寿吗?
- 抗肥胖药物的不合理使用会带来什么问题?
- 血脂越低越好?不吃高脂肪的食物血脂就不会升高?听听医生怎么说
- 坚持瑜伽的姑娘,一定会蜕变成美丽的蝴蝶!
