ct|如果不治疗的话,肺癌的发展速度到底有多快?
本文的主人公是一位80多岁的老年高龄女性,2020年10月29日因突发头痛一天神志不清7小时急诊入院,急诊检查发现是颅内动脉瘤破裂导致蛛网膜下腔出血,然后急诊做了动脉瘤栓塞术。
术后两天也就是10月31号复查CT发现左肺有一个肿块,性质不明确(图1),考虑肿瘤。因该患者正处在动脉瘤血管内栓塞手术术后恢复期,主要矛盾仍为动脉瘤性蛛网膜下腔出血及其并发症所致,故未对肺部病变进行进一步诊治。

文章插图
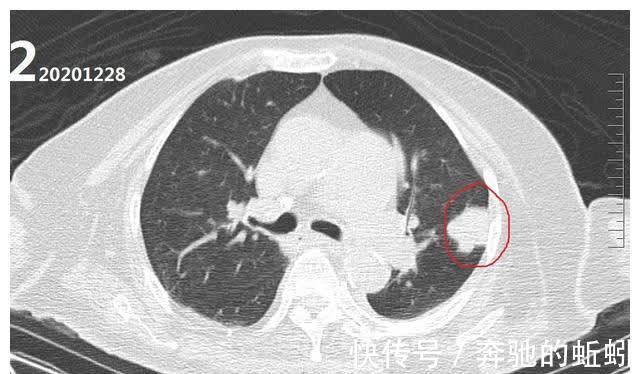
动脉瘤血管内栓塞术后,因蛛网膜下腔出血量较大,患者一直处于昏迷状态,20201228日复查头颅CT及胸部CT时,胸部CT情况如(图2)左肺病灶未见明显增大。因患者当时身体状态不佳,对左肺病灶仍未进行针对性诊治。

文章插图
因为蛛网膜下腔出血,患者在医院住了整整100天,出院时患者意识状态仍未完全恢复,呈朦胧状态,能自主睁眼、自主发音,但不能正确回答简单问题。
在整个住院期间无条件对左肺肿块进行针对性诊治。

文章插图
到了2021年12月9日,患者因右侧胸壁肿物,才来医院进行复诊。查CT,发现肺部情况如图3所示,左肺病灶无明显增大,但肺内可见无数个大小不等类圆形结节影。

文章插图
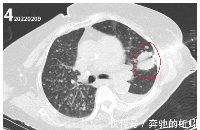
然后直到2022年2月9号才入院继续针对肺部病变进行针对性诊治。入院查胸部CT图4所示,肺部病灶较2021-12-9数目明显增多,安排了左肺病灶穿刺活检及胸壁肿物穿刺活检。

文章插图
活检结果肺内病灶考虑肺腺癌、胸壁肿物考虑转移性肿瘤。

文章插图
综合:该患者肺内病灶为突患重病动脉瘤性蛛网膜下腔出血时意外发现,当时威胁患者生命的主要疾病为动脉瘤性蛛网膜下腔出血。患者当时确实无干预左肺病灶的机会。但当蛛网膜下腔出血病情恢复后,应及时针对左肺病灶进行治疗啊。
【 ct|如果不治疗的话,肺癌的发展速度到底有多快?】1年4个月,左肺肿瘤从早期发展为晚期,这速度应该挺快的吧
。
假如你是患者的家属,遇见这种情况,你会怎么抉择?
蛛网膜下腔出血治疗出院后,患者病情恢复后,为何家属那么长时间不针对肺部肿瘤进行治疗,说说你的想法,你的观点。
如果你是大夫,遇见这种同时存在重症良性疾病和恶性肿瘤的情况,你会怎么抉择?
我是杏林斗士,一名影像医学与介入治疗专业的主治医师,喜欢我的分享,请点赞支持一下!
- 治疗|得了运动神经元病,能治好吗?
- 治疗|腹膜透析助力尿毒症治疗
- 胃肠炎的症状与治疗
- 治疗|共用针头与注射器正在成为沙特艾滋多发的诱因
- 丈夫|33岁女子,癌症晚期,丈夫放弃一切治疗,妻子却说谢谢了
- 治疗|邀您关注 | 【仁心解泌-疑难病例讨论荟】第四十三期,2月24日在线直播!
- 肝脏健康|肝病通常有这4个类型,无论出现哪一种,都要重视,及时就医治疗
- 方面|做试管治疗应该从哪方面来调整自己身体跟心理状态?
- 治疗|运动神经元患者小飞(化名)治疗过程
- 本文转自:广东中医药▲洪广祥 国医大师(1938.|国医大师洪广祥:治疗慢性咳嗽经验
