心脑血管疾病|30岁男子高血压致急性心衰,停药半年心脏“膨胀”一倍
来源:华中科技大学协和深圳医院
你是否常常听到这样的话?“好好的一个人,突然就没了”
这时候你总会感叹世事无常,生命脆弱,身边有些平时没病没痛,肩能扛手能提的人忽然心梗、脑梗就没了,其实这种看似“健康”的背后,往往隐藏了一个“无声的杀手”,那就是——高血压
高血压是如何杀人于无形的?这还要从它的并发症开始说起。
30岁男子急性心衰竭,心脏增大一倍今年31岁的李先生(化名)是一名建筑工程师,日常应酬非常多,过去的七八年里,他几乎每周会喝三四次酒,除此之外他吸烟成瘾,每天一包,一吸就吸了6年,工作繁忙也让他经常熬夜,一熬夜就喜欢吃烧烤,可以说各种不良的饮食、生活习惯他都占了。
他不知道,他的身体已经快垮掉了。

文章插图
去年3月份的一次受凉后,李先生突然感觉呼吸急促,吃了感冒药和抗感染的药都不见好转,就这样持续了一个月,气促的症状愈发严重,只要稍微活动一下,就会感觉呼吸困难、头晕乏力,就好像一个70岁的老年人一样。
2020年4月,李先生决定前往华中科技大学协和深圳医院(南山医院)心血管内科进行治疗。
心血管内科林小龙医生在了解完李先生的病史后,又让他做了各项检查,检查显示——
- 李先生收缩压大于200,舒张压大于110mmHg(正常成人收缩压为100~120mmHg,舒张压60~80mmHg),高血压3级,很高危;
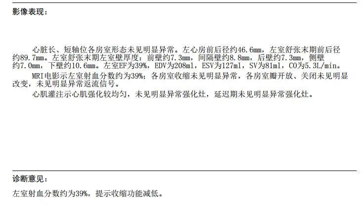
- 左心增大,射血分数明显下降至41%,(此指标体现心脏射血情况,正常数值在50-70%)左心室收缩、舒张功能减弱;
- 肺动脉高压;
- 双下肢轻度凹陷性水肿。

文章插图
最终结果显示,年仅30的李先生,就出现了“急性左心衰”,考虑到李先生大体上没有其他的基础疾病,由此可以认为是由高血压引起的。
林小龙医生给李先生做了一系列规范化治疗后,让他带药回家,并叮嘱他需要戒烟戒酒、低盐饮食,尤其是每天都要坚持吃抗心衰药和降压药,并坚持测血压。
很明显,李先生并没有意识到问题的严重性。
回到家中的他吃了一段时间药后,测了血压正常了,再加上他又觉得高血压不痛不痒
就自行停了所有药,这一停就是半年
半年来,三天打鱼两天晒网,想起来就吃点降压药,想不起来就得过且过,可没想到,如此“心大”的他,就算测到自己的血压高达228/150mmhg,他也觉得没关系。
直到有一天,他的气促又开始加重了,他才再一次来到协和深圳医院心血管内科,这次他找到吴振垣医生和张志杰主任。
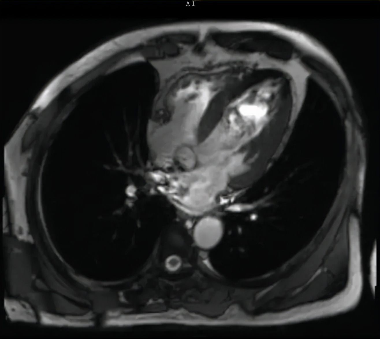
吴振垣医生给他又重新做了各项检查后发现,好家伙,血压越来越高,左心室也越长越大,整个心已经增大了一倍,心衰情况继续加重。

文章插图

文章插图
再这样下去,李先生可随时会有生命危险的。
吴振垣医生苦口婆心地给他解释了他病情的严重性。
“你的高血压和心衰都是很严重的,再这么下去,是会危及生命的!一定一定不能自行停药,除了按时吃药外,每天都得测血压,并且要定期到高血压心衰门诊复诊。”
张志杰主任告知李先生,得了高血压并不可怕,但要科学认识高血压,需要低盐饮食,适量运动,规律服药,并定期监测血压,定期门诊复诊。即高血压的全程管理,最终目的是通过高血压控制达标,减少心脑血管疾病的发生。
- 预防心血管疾病|胆固醇也分好坏?看看你吃的那些是好是坏!
- 心脑血管|血脂化验单怎么看?哪几项高就说明是高脂血症?
- 醋卷心菜|102岁老人养生小秘密,一生只爱吃两种菜,如今器官只有30岁
- |心脑血管病易频发,建议做好4件事,少吃3物,帮助预防改善。
- 心脑血管疾病|长寿老人爱吃的此种食物,有利于心脑血管疾病,早知早受益
- 北京青年|30岁脱发人群占了近7成?国家卫健委称未发布相关数据 原来这个说法来自这里
- 心脑血管|中老年人养生别盲目,专家:日常;牢记6要素,保护肝脏更长寿!
- 心脑血管疾病|高血压患者要健康,少吃以下6种食物!医生:第3种常见,危害最大
- 健胃消食|女人爱美,常吃4种食物,健胃消食,清肝明目,预防心血管疾病
- 肝CT|30岁男子肝癌离世,医生提醒:身体出现3种“情况”,请及时查肝CT
