
文章图片
长江日报大武汉客户端2月3日讯因为深感平时缺乏运动 , 一名男子趁休假期间突击健身锻炼 , 结果几天下来引发膝盖疼痛 , 就医才知道自己出现了髌骨软化 。 医生提醒 , 膝关节过多的负重屈伸 , 包括爬楼、蹲起等动作会加重软骨的磨损 , 市民在锻炼时要注意循序渐进 。
市民黄先生现年32岁 , 由于工作需要 , 他日常步行较多 , 每天的步数都在2万步左右 。 因为工作繁忙 , 也一直没空锻炼身体 。 前不久 , 黄先生请了年假在家休息 , 想着平时工作繁忙 , 一直没时间锻炼身体 , 心血来潮之下 , 他前往家附近的一家健身房锻炼 。
三天下来 , 黄先生开始隐隐感觉膝盖有些疼痛 , 关节弯曲时还能听到里面“沙沙”作响 。 休息了两天 , 黄先生的症状仍不见好转 , 特别是蹲下站起的动作有些困难 。 随后 , 他来到武汉市第四医院运动医学科就诊 。
接诊的李亚楠医生详细询问了黄先生的病史 , 并对其进行了体格检查 , 发现其膝关节存在明显的髌骨摩擦感 。 结合其过往的工作经历和最近的运动史 , 李亚楠判断 , 黄先生出现的是“髌骨关节软骨软化” 。 之后进行的磁共振检查 , 证实了他的判断 。
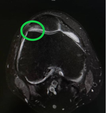
圆圈内为髌股关节软骨磨损部位 。
据介绍 , 髌骨关节软骨软化 , 也就是大家通常理解的“膝盖软骨磨损”中的一种 , 常常表现为膝关节髌骨摩擦感 , 膝关节屈伸时疼痛 , 甚至出现屈伸膝无力、“打软腿”、无法顺利蹲起等 。 日常生活中 , 过多步行、跑跳、攀爬、下蹲等动作都会加重膝关节软骨的磨损 。 黄先生近期的大强度健身 , 正是引发伤病的主要诱因 。 之后 , 他首先需要减少膝关节的负重屈伸运动 , 延缓软骨磨损 。
针对髌骨关节软骨软化 , 传统的治疗方式包括口服氨基葡萄糖补充营养 , 并通过关节内注射玻璃酸钠给关节“润滑” 。 李亚楠介绍 , 目前更加有效和新颖的治疗方式则是自体富血小板血浆(PRP)注射术 , 即通过抽取自身10毫升左右的静脉血 , 分离出富含血小板的成分后注射到膝关节腔内 , 可以有效促进膝关节损伤软骨的修复 。
黄色液体即为离心后的PRP成分 , 具备良好的软组织修复能力 。
在医生对治疗方案进行介绍后 , 黄先生最终选择了PRP注射 。 治疗后的回访结果显示 , 黄先生的症状已经大为缓解 , 并将在之后接受第二次注射 。
武汉市第四医院(湖北省运动医学中心)副院长、运动医学专家张青松介绍 , 目前PRP注射在各类运动损伤方面已经有比较广泛的应用 。 包括软骨损伤在内 , 针对如韧带肌腱损伤、筋膜肌肉软组织劳损、半月板损伤等都能有效辅助组织再生修复 。 此外 , 在难愈性创面修复、骨折延迟愈合等方面 , 也可以发挥很好的作用 。 (长江日报记者王恺凝 通讯员李亚楠 杨京)
【编辑:余丽娜】
【男子健身房突击锻炼,膝盖骨头被练“软”了】更多精彩资讯请在应用市场下载“大武汉”客户端 , 未经授权请勿转载 , 欢迎提供新闻线索 , 一经采纳即付报酬 。 24小时报料热线:027-59222222 。 此文版权归原作者所有 , 若有来源错误或者侵犯您的合法权益 , 您可通过邮箱与我们取得联系 , 我们将及时进行处理 。 邮箱地址:kin0207@126.com
- 男子晨起后突发脑梗离世!脑梗最怕两个时间段,这6件事务必少做
- 大家在健身房锻炼后,肌肉出现疲劳应该继续吗?应该怎么办?
- 48岁男子每天大便两三次,确诊胰腺癌!5种异常或是身体“警报”
- 初入健身房如何锻炼?一文让你清清楚楚锻炼
- 男子右肩疼了6个月查出肺癌,提醒:身上3处疼痛,或是癌症的征兆
- 55岁男子洗头后发生心梗!提醒中老年人:洗头时要把这5点放心上
- 41岁男子尿酸710,并发尿毒症离世,提醒:4种食物是“肾病”帮凶
- 连吃10个,男子差点肠穿孔!这种“零嘴”正大量上市
- 49岁男子脑梗离世,医生呼吁中老年人,晨起后尽量少做五件事
- 男子泄一次 减寿多久?肾精亏损不管它 能自己恢复吗?(中医科学解答)
