钙化性肌腱炎|长在肩膀上的“结石”:6旬阿姨肩膀半夜痛醒误以为肩周炎,原来是肩袖钙化性肌腱炎( 二 )
患者往往术后第二天就会明显感觉疼痛消失,患肢可以自如活动,生活自理。
术中,手术团队为王阿姨的右肩彻底清除了钙化组织,并修补了破损的肩袖。

文章插图
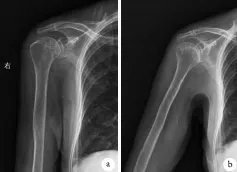
术后X片未见钙化灶
术后第二天王阿姨发现右肩疼痛完全消失,终于睡了大半年来第一个安稳觉。
久违的笑容重新绽放在脸上,亲朋好友眼里的那个和蔼可亲的老太太又回来了。
早上查房时王阿姨拉着江主任的手笑着说:“我本来以为我的手废了,想死的心都有,感谢你们给了我第二次生命。”

文章插图
患者右肩关节功能完全恢复正常
肩袖钙化性肌炎 临床表现
1.肩部剧烈疼痛:大部分出现在钙盐吸收阶段, 伴随着突如其来的剧痛。
2.夜间疼痛:静息痛,肱骨大结节处压痛明显,夜间可痛醒。
3.患肢无力,僵硬,手臂上举困难 。
4.大部分患者因疼痛剧烈时寻求治疗,夜间痛醒;也有一部分病人在评估肩袖撞击综合症时偶然发现 。

文章插图
肩袖钙化性肌炎 预防方法
1)让肌肉休息,但避免休息过久,以免肌肉萎缩。
2)若肌腱炎的发生是运动引起的,更换运动项目。
3)洗按摩浴可帮助提高体温并促进血液循环。
4)可以温湿的毛巾热敷膝盖部位。5)平时及运动前应多多伸展肌肉。
6)戴护具,可强化肌肉与肌腱。
7)使用冰块消肿止痛,但心脏病、糖尿病或血管有问题的人不宜使用。
肩袖钙化性肌炎 治疗方法
临床对这种疾病常见治疗方法一般有以下几种:
1)由于病程为自限性,应首选保守治疗,而且大部分可以通过保守治疗能够治愈。包括休息、消炎药物治疗、理疗、功能锻炼等,以及局部注射类固醇药物。
2)疼痛持续加重,影响日常活动,或者保守治疗无效,可考虑手术治疗。目前手术治疗首选在关节镜下切除钙盐沉积块,如果钙盐沉积块体积较大,需要同时在关节镜下修复肩袖。
3) 冲击波治疗慢性钙化性肌腱炎是近几年出现的新的方法,其机理是通过冲击波造成微创伤,刺激局部血流来达到治疗目的。大约有50%-70%的病人在接受1到2次高能量的冲击波治疗后症状有好转。治疗过程中患者较为疼痛,有时需在麻醉下进行。但冲击波治疗极少发生并发症。
4)中医治疗是一个选项,康复训练能辅助治疗。
- 喝牛奶|为什么不建议女性天天喝牛奶?提醒:喝牛奶牢记4点,更营养
- 鸡蛋清性|每天晚上不妨多吃三种食物,营养丰富,延缓衰老,好吃又不贵!
- 肌肤|女性不愿老太快,坚持多吃3种食物,滋补身体,好处多多!
- 排毒|女性要排毒,推荐多吃4种食物,养护皮肤,祛皱美容,血管更通畅
- 蛋分为好几类 根据体质来吃
- 公司|罗欣药业:子公司注射用美罗培南通过仿制药一致性评价
- 晚餐与寿命有关吗?怎么吃、吃多少,今天一次性说清楚
- 50岁后,寿命“短”的人往往有4个共性,若你一个不占,那很幸运
- 肝胆疾病|女性晚上当零食吃几颗,美肤淡斑,大肚子也平了,越来越年轻
- 检测|刚刚,溯源结果公布!在国际快递中检测出阳性
