
文章图片
三、临床分析
患者中年女性 , 亚急性病程 , 主要表现为声嘶、咽痛 , 喉镜见广泛白苔附着 , 喉黏膜组织活检病理提示肉芽肿性病变 , 胸部CT见双肺多发结节 , 支气管肺泡灌洗液培养示NTM , T-SPOT阴性 , CRP轻度升高 , 外院先后予哌拉西林/他唑巴坦抗细菌 , 异烟肼、利福平、克拉霉素、阿米卡星抗分枝杆菌 , 效果均不佳 。 综合目前资料 , 诊断和鉴别诊断考虑如下:
- 喉结核:亚急性起病的声嘶、咽痛 , 炎症反应不剧烈 , 喉镜见广泛白苔附着 , 喉黏膜组织活检病理示肉芽肿性病变 , 首先考虑喉结核 , 但外院血T-SPOT阴性 , 似与结核不符 。 需进一步取喉部分泌物或喉黏膜组织、痰等标本完善培养、NGS、分枝杆菌菌种鉴定、Xpert MTB/RIF等检查以明确诊断 。
- 喉非结核分枝杆菌(NTM)感染:喉黏膜组织为肉芽肿性病变 , 支气管肺泡灌洗液培养示NTM , 可考虑喉NTM感染可能 。 患者因支气管哮喘长期吸入糖皮质激素 , 不除外因此引起喉部局部免疫功能受损、继发感染 。 外院未行NTM菌种鉴定及药敏试验 , 曾予抗分枝杆菌治疗 , 效果不佳 , 可能与治疗不规范有关 。 应继续完善病原学检查 , 如再次培养NTM阳性 , 进一步行菌种鉴定及药敏 。 当然 , 支气管肺泡灌洗液培养示NTM , 胸部CT提示两肺多发结节 , 尚需考虑NTM肺部感染可能 , 而非NTM引起的喉部感染 。
- 其他少见病原体感染:诺卡菌、隐球菌、真菌等慢性低毒力病原体均需纳入考虑范围 , 应取喉部分泌物或喉组织送培养、NGS等病原学检查 , 明确诊断 。
- 喉普通细菌感染:患者哮喘长期吸入糖皮质激素 , 咽喉局部可能继发普通细菌感染 , 如链球菌、葡萄球菌、厌氧菌等 。 但患者CRP仅轻度升高 , 血常规白分、ESR、PCT均正常 , 外院曾使用哌拉西林/他唑巴坦经验性抗感染无效 , 似与普通细菌感染不符 。
- 非感染性疾病:当地喉组织病理提示小区鳞状上皮不规则增生伴不典型增生 , 故还需要排查喉MT等肿瘤性疾病 , 以及风湿免疫系统疾病等其他非感染性疾病 。 可再次行喉组织活检 , 寻找病理学依据 。
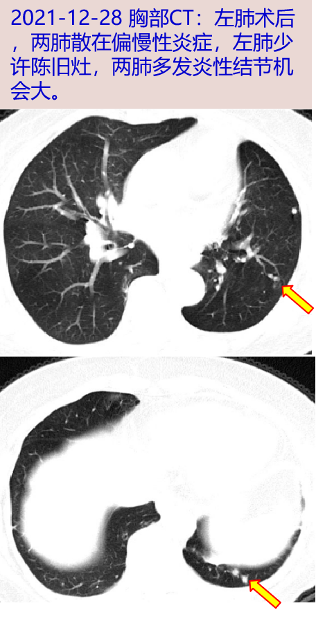
- 2021-12-28 胸部CT:左肺术后 , 两肺散在偏慢性炎症 , 左肺少许陈旧灶 , 两肺多发炎性结节机会大 。
- 2021-12-28 咽喉部CT:两侧声带、杓状会厌壁增厚 , 左侧上颌窦少许炎症;两侧上颌窦粘膜下囊肿 。

文章图片

文章图片
- 2021-12-28 喉镜:会厌、双侧披裂肿胀;双侧声带运动好 , 双侧声带肿胀;双侧梨状窝肿胀、积液;咽喉广泛附着分泌物 。 取喉部分泌物送微生物学检查、mNGS , 喉部分泌物细菌、真菌、抗酸涂片阴性 , Xpert MTB/RIF阴性 。

文章图片
- 润肺止咳|脑中风发作时,身体会有这4个症状表现,中老年人需留心观察
- 疫情|【行动轨迹】绥芬河市新增确诊病例及无症状感染者活动轨迹
- 小寒来临 按摩3部位调理身体
- 四川|四川昨日新增3例本土确诊病例及1例无症状感染者
- 痛风有哪些症状表现|科普小常识:痛风发作后有哪些症状表现,教你快速止痛的方法
- 症状|春季校园健康防病预警:流行性感冒和诺如病毒
- 三种食物经常吃加速身体衰老
- 惠东县|广东省惠州市惠东县报告1例新冠肺炎无症状感染者
- 维生素D|身体缺乏维生素D,可能与4大好处无缘了!一次性介绍12种食物
- 防控|上海市新增本土新冠肺炎确诊病例3例 新增本土无症状感染者4例
