化疗后肿瘤体积明显缩小 , 肝内转移灶也消失了
但对于一些位置较为特殊的情况 , 即便经过化疗 , 手术难度仍然很高 , 首儿所普通(新生儿)外科收治的大部分患儿均为此类情况 , 例如一些肿瘤长在第一或第二肝门上 , 压迫重要的血管、胆管 , 术中就需要在完整切除肿瘤的同时保留住这些重要的血管 。 很大一部分肿瘤长在肝脏中间 , 术前对肿瘤与血管的关系就要进行详细的检查 , 对术后残余肝脏的体积进行测量 , 综合考量 , 以决定手术方式 , 既要保证肿瘤能完整切除 , 又要保证剩余肝脏的体积及血管得以保留 , 避免术后肝功能衰竭 , 其中一部分患者不得不接受肝中叶切除 , 将肿瘤自肝脏中间“挖出” , 保留住两侧的正常肝脏及血管 , 该操作较为复杂 , 肝脏的剥离面较大 , 手术的风险及难度也相对较高 。
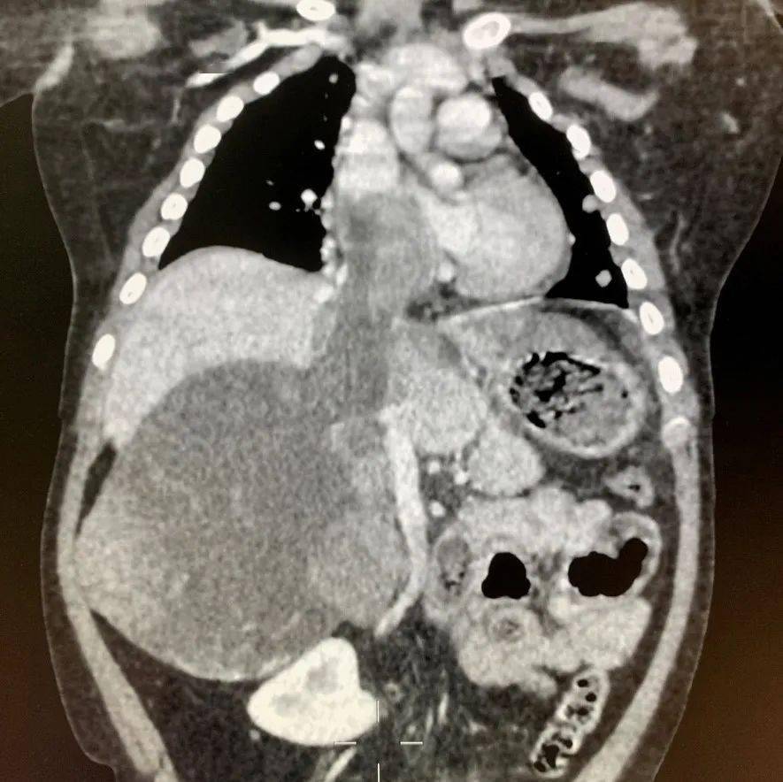
还有一部分患者合并门静脉及下腔静脉内瘤栓 , 肿瘤组织进入大血管内形成栓子 , 甚至在血管内一路上行长入心脏中 , 术中需要在切除肿瘤的同时取出瘤栓 , 必要时需要和心脏外科一起联合手术 , 同时切除腹腔内的肿瘤、血管内的瘤栓以及心脏内的瘤栓 。
文章图片
肿瘤自下腔静脉内上行长入右心房 , 与心脏外科一起联合手术
随着科技水平的进步 , 手术器械的改进 , 肝脏肿瘤在腹腔镜下切除已不是天方夜谈 , 但对于肝母细胞瘤来说 , 瘤体往往较为巨大 , 压迫周围重要的血管 , 腹腔镜操作难度较大 , 风险较高 , 但对于一些体积较小 , 临近肝脏周边的肿瘤 , 首儿所普通(新生儿)外科已多次施行腹腔镜微创手术 , 是否能行微创治疗 , 还需要根据具体情况制定个体化的治疗方案 。
文章图片
腹腔镜术后切口外观
首儿所普通(新生儿)外科特色治疗
近期 , 首儿所普通(新生儿)外科成功开展了小儿肝脏肿瘤吲哚菁绿荧光显像介导下术中导航技术 , 术前注射吲哚菁绿 , 该药物进入人体后与血浆蛋白结合 , 结合后被肝脏组织代谢 , 经过胆汁排出体外 。 正常肝组织可以很快吸收血中的ICG并排入胆道 , 但肝脏肿瘤组织摄取ICG后代谢缓慢 , 导致ICG滞留在肿瘤内 , 这就造成了ICG在肿瘤和正常肝脏组织内的差异 , 在荧光镜下正常肝脏组织不显影 , 而肿瘤组织可以显示出绿色的荧光 , 肿瘤组织与正常肝脏组织的界限泾渭分明 , 看得清 , 自然打得准 , 应用此项技术 , 不仅能精准的切除肿瘤 , 而且也可在荧光下探查肝脏断面是否存在绿色的肿瘤残留 , 以及正常肝脏上是否存在绿色的转移灶 , 从而减少肿瘤复发的可能 。
文章图片
荧光下肿瘤组织显示出绿色的荧光 , 而正常肝脏组织不显影
术后
肿瘤经过手术切除后 , 还需要再进行多次药物化疗 , 手术并不能清除掉所有的肿瘤细胞 , 很多肿瘤细胞藏在身体的其他地方或血液中 , 经过化疗对其进行进一步的杀灭 , 从而减少肿瘤复发和转移的发生 。
常见问题
1、所有肝母细胞瘤都需要术前化疗吗?
大部分都需要化疗 , 但对于一些肿瘤体积较小 , 位于肝脏周边或局部外生的肿瘤 , 也可以先手术切除 , 术后再行化疗 , 需要具体情况具体分析 , 制定个体化的治疗方案 。
2、肝母细胞瘤甲胎蛋白一定升高吗 , 甲胎不高是不是就一定是良性的?
- 软垢与牙石的形成过程
- 评论|【一图读懂】农村地区新冠肺炎疫情防控提示
- 育龄夫妇|南昌华儿山生殖医院服务好不好呢 平价收费透明缴费
- 本文转自:北青网据CCTV生活圈...|它是平价的“长寿菜”,每天都应该吃,有这5大好处
- 【疾病知识】扁平疣的症状怎么确定?
- 健康版:羊肉和什么不能一起吃?
- 如何正确处理伤口远离破伤风
- 本文转自:北京市疾控中心居家隔离人员如何做好家庭消毒-疫情防控·不可松懈-当前本市疫情防...|【北京疾控提醒您】居家隔离人员如何做好家庭消毒
- 杭州市|杭州已报告本土确诊病例30例 其中7例涉一场婚礼
- 食欲不振|肝脏发生病变后,这5个部位会发出“信号”,当心肝硬化找上门
