黄勇|肺腺癌是怎么长出来的医生介绍3类肺结节,像种子发芽( 二 )

文章插图
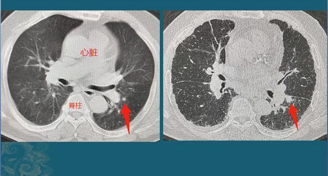
上图这位老年男性患者,因为头晕住院,胸部体检发现左下肺实性小结节,直径5mm,建议他3-6个月复查,结果老人的家属没有遵从指导,直到18个月后,老人出现胸痛、咳嗽症状才回来复查,结节增大到1.1cm,由于位置靠近叶间胸膜,癌细胞顺着胸膜上丰富的脉管系统转移了,没有根治机会了……肺腺癌的转移时机也不一致,有些病人肿瘤增大到5cm以上仍然没发生转移,依旧有手术机会。所以癌症病人的运气,其实也很重要!肺结节的平均生长速度上面分别介绍了肺腺癌的3种生长方式,它们的增殖速度并不相同,不同病人身上也有差异。有文献统计了一个平均值,供大家参考一下:

文章插图
从这个统计数据来看,跟大多数人想的一样,纯磨玻璃结节是最慢的,实性是最快的。这里又衍生了一个新问题,有人看了最后那个实性肺结节,才5mm,结果一年半转移成晚期肺癌,难免又要害怕了:肺实性小结节,恶性的比例多吗?不要慌,实性肺小结节,良性远远多于恶性,这个也是有数据统计的,豪大夫的师傅,山东肿瘤医院黄勇教授做过一些很有价值的总结:

文章插图
图片来自黄勇教授1.直径<5mm的实性肺结节,恶性比例为0-1?直径在5-10mm者,恶性比例为6-28?2.不吸烟的女性,没有高危因素(肿瘤家族史、吸烟及二手烟等),肺内<5mm的实性结节,基本都是良性;3.年轻人(30岁以下),肺内实性结节<3cm,大多数是良性。所以,发现肺结节首先不要盲目恐慌,听从医生指导定期复查一下,不会耽误治疗,并且良性居多!
- 消化系统|两个症状不断出现,十有八九是癌症,你却一拖再拖
- 患癌|老人患癌,却长命到百岁,做好3件事,癌细胞或许不再“活跃”
- 肠癌|63岁老人查出肠癌后,常拿此物当作零食吃,医生也很提倡
- 肺癌|肺癌加速恶化!51岁著名男星再度入院治疗,病情急转直下呼吸困难
- ct|做了CT后会肺癌是真的吗?一年做几次CT才安全?告诉你真相
- 食管癌|癌症“偏爱”哪些人?这5个诱因,希望你能避开
- 肝癌|23岁女大学生肝癌晚期,生命最后的愿望竟然是种一棵树
- 早期|鼻咽癌早期的5个信号,任何一个反复出现,都需及时去医院检查!
- 发现|专家提醒:乳腺癌患者应“早发现、早诊断、早治疗”
- 口咽癌|十多种肿瘤与“吃”密切相关,看完请注意避开!
