
文章图片

文章图片

文章图片

文章图片
47岁的张燕(化名)是一名有十几年教龄的老教师了 。 平时对待学生总是很和蔼亲切 , 把他们当做是自己孩子的一样 。 张老师为了孩子们的成绩都能得到提高 , 经常会起早贪黑的研究教法、整理教案 , 只为让学生能够在快乐的学习氛围中将知识牢牢掌握住 。
然而就在三个月前 , 张老师经常感觉到自己精神疲倦 , 浑身都使不上劲 。 起初她还以为是最近课程安排的太紧 , 身体有些吃不消 , 想着休息休息就能缓过来了 , 也就没把这当回事 。 接着几个星期过去了 , 张老师忽然又出现了腹痛恶心的情况 , 什么东西都吃不下去 , 身体变得越来越虚弱 。 身边的同事看见她这个样子 , 都劝她去医院检查一下 。 张老师也觉察出了事情可能不对劲 , 赶忙请假去了医院做检查 。
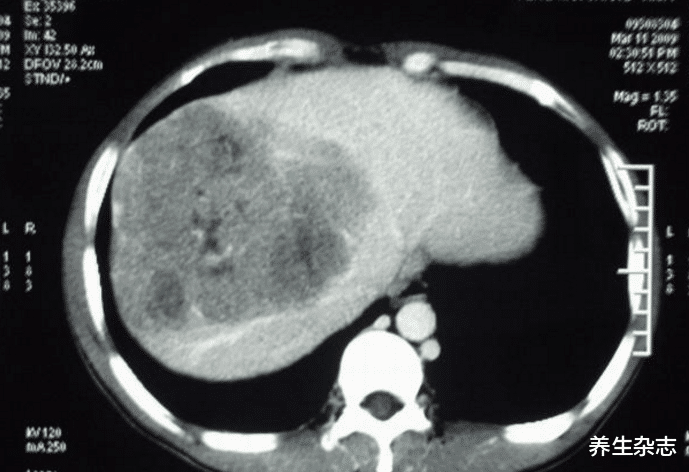
医生询问了张老师的基本情况后 , 直接安排她进行了肝部的检查 。 不曾想出来的检查结果直接让张老师崩溃了 。 她体内的甲胎蛋白数值已经达到了490mg/ml , 肝脏内出现了多个肿瘤 , 最终被确诊为肝癌 。 张老师思考了很久都没有想明白 。 自己为什么会得了这么严重的肝病?
47岁女教师确诊肝癌 , 医生叹息:糊涂!鸡蛋和它一起煮 , 等同于“吃毒”
原来 , 张老师的爱人以前非常喜欢喝茶 , 平时家里囤了很多茶叶 。 有的因为开封后放在了一边 , 没好好保存就出现了变质发霉的情况 。 张老师觉得这好好的茶叶扔了可惜 , 就用这些茶叶煮茶叶蛋吃了 。 她觉得经过沸水的高温什么霉菌病菌都能被消灭干净 , 就放心食用了 。
医生指出 , 日常生活中有不少食物变质霉变之后会产生一种黄曲霉菌的致癌毒素 , 这种毒素无论是经过反复冲洗还是高温煮沸都不能彻底被清除 。 若是长时间摄入含有黄曲霉菌的茶叶蛋 , 那其中的毒素会在进入人体之后 , 对体内各个器官造成破坏 , 尤其是作为解毒器官的肝脏 , 不仅会直接影响肝脏正常的排毒 , 还可能会导致肝脏细胞出现坏死变异的情况 , 甚至会导致肝癌的发生 。
身体出现这几个表现 , 或是肝癌上身的“征兆” , 尽早检查肝功
- 黑眼圈严重 , 皮肤暗沉粗糙;
- 腹痛腹泻频率增多 , 味道难闻;
- 头发经常出油 , 并且出现大把大把掉头发的情况;
- 精神萎靡 , 四肢乏力 , 经常嗜睡;
- 指甲上有竖纹、不平整、脆弱易断;
- 睡眠不好、失眠多梦、醒来后精神不佳;
- 出现肝掌、手掌大小鱼际出现莫名红色斑块;
- 小便异味重 , 颜色变浓 。
若想轻松维护肝功 , 可坚持做好这1点:
判断肝脏受损的指标——甲胎蛋白数值
【肝癌|47岁女教师确诊肝癌,医生叹息:糊涂!鸡蛋和它一起煮,等同于“吃毒”】在临床上 , 甲胎蛋白指数往往与肝脏肿瘤有着密切的联系 , 像是很多原发性肝癌就会使得甲胎蛋白出现明显的增高 , 其数值往往是大于300mg/ml的 。 成人在患上肝脏疾病时 , 体内的甲胎蛋白就会出现十倍甚至几十倍的攀升 。
- 今年45岁的吴青峰是一名老师|体内有癌,睡眠先知,医生提醒:身体出现3种异常,或是肝癌上身
- 红豆|多家医院联合声明:停止食用“1种面”,或是肝癌的加速器,尽量少碰
- 养肝护肝|养肝就是“续命”!肝癌最怕3种食物,遇到不妨多吃一点
- 医院走廊里站着一对夫妻|夫妻二人相继确诊肝癌!医生:排骨怎能和“它”一起炖,伤肝不浅
- “肝癌大户”被揪出,吃一口等于10个塑料袋,提醒爸妈:趁早撤下餐桌
- 骨质疏松|肝胆科专家呼吁:停止使用1粗粮,或是肝癌的“诱发剂”,趁早撤销下桌
- 肝脏|农民工肩痛1年,确诊肝癌,医生直言:常喝“2水”是在自毁肝脏
- 医生|35岁女子误以为肩周炎,结果确诊肝癌!医生:太过无知,终害己
- 患者|肝癌晚期再添新“利器”!不开刀、恢复快,6类患者可以考虑选择
- 肝脏本身的疼痛神经非常薄弱|多名专家联合呼吁:“1馒头”吃一口相当2斤白酒,或是肝癌的加速器
