
文章图片

文章图片

文章图片

文章图片

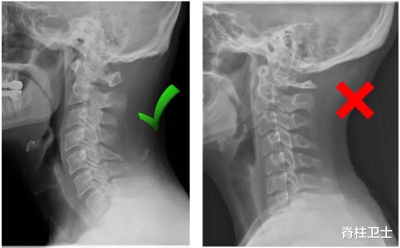
健康的颈椎都具有向前弯曲的c型曲线 。
但生活中长期的不良姿势 , 却十分容易导致颈椎出现骨性畸形 。
颈椎变直:颈椎的前凸C型弧度减小变直 。
颈椎反弓:颈椎变直后继续发展 , 变成后凸C型 。
一 , 检查颈椎健康颈椎如果丧失正常的生理曲线 , 椎间盘和关节将会承受过大压力 。 就好比你从高处往下跳 , 着地的时候不能弯曲膝盖 , 那么加在膝关节上的冲击力就会变得非常大!
当颈椎长期处在这种压力下 , 就会提早出现退行性病变、颈椎间盘突出等问题 。
01_目测
担心自己颈椎曲度的变化 , 应该如何判断?
如果一个人的颈椎曲度发生变化 , 肉眼也能大致分辨得出来 。
? 正常情况下 , 耳朵应该在肩膀的正上方
? 耳垂线落在肩中点前侧可能颈椎变直
? 耳垂线在肩膀前面可能颈椎反弓
02_拍X片
到医院拍个X片 , 能比较直观地看到颈椎曲度的变化 。
03_颈椎病的常见症状
根据下面选项给自己打个分 , 得分越高 , 患有颈椎疾病的概率就越大 。
重要提示 :腰突容易导致腿脚麻木 , 但腿脚麻木未必就是腰突 , 曾遇到过不少颈椎病被误诊为腰椎病的朋友 , 这里提醒大家在系统评估之前 , 不要盲目下结论 。
★☆☆☆☆ 颈肩、后背酸痛僵硬
★★☆☆☆ 睡觉经常落枕
★★★☆☆ 头晕眼花、视力模糊
★★★★☆ 胳膊疼痛麻木、手不灵活
★★★★★ 走路不稳 , 腿麻有踩棉花感
二 , 颈椎变直矫正颈椎变直早期可能无明显症状 , 但这种结构变化 , 会带来许多后续的麻烦 , 可以说它是各种颈椎病的前兆 。
- 颈椎生物力线改变 , 颈椎关节不稳而容易受伤
- 加速颈椎病变 , 出现颈突、骨刺、继发性椎管狭窄
- 颈椎神经卡压导致头晕颈痛、手麻腿软……
一般情况下 , 早期通过针对性的康复训练 , 可以达到比较好的恢复效果 。
如果年龄比较大了 , 颈椎退化比较严重 , 那么进行专业的物理康复 , 也可以强化颈椎肌肉力量 , 缓解疼痛 , 并减少颈椎疾病的发生 。
02_颈椎变直后如何矫正?
第一步:处理疼痛、麻木或更严重的神经压迫症状
颈椎变直 , 除了可能对颈部神经及椎动脉产生压迫外 , 通常还伴随颈部肌肉劳损 。
物理治疗师通过专业手法调理 , 可以帮助松解肌肉、减轻神经张力 。
第二步:进行针对性康复训练
强壮、灵活的肌肉和关节 , 有助于抵御劳损和伤害 。
在物理治疗师指导下进行康复训练 , 通过纠正姿势、强化肌肉 , 能够帮助颈椎分担更多的压力 , 并恢复颈椎的正常生理结构 。
- 克星|颈椎病的克星:聊聊颈椎那些事,让颈椎病从此和你说拜拜!
- 神经末梢|一颗大蒜,竟是颈椎病的“克星”!退休老医生自用秒方,用1个好1个!
- 姚婆婆|【读报】痛在头部,病在颈椎
- 颈椎病|男子肩背痛了三个月,以为颈椎病复发,检查发现是肺癌“捣鬼”
- 颈椎|头痛竟与颈椎病有关缓解头部不适看这5点
- 葛优躺|为什么现在很多人会患上颈椎病罪魁祸首在这里,这个锅背定了
- 颈椎病|啤酒瓶不要扔,对于颈椎病有大用,坚持这样用,还你健康颈椎
- 脊柱侧弯|伏案时间过久,颈椎不舒服?预防脊柱侧弯,不妨用毛巾做2个动作
- 颈椎病|颈椎不好伤全身每天几分钟,告别颈椎病,从此不再“坐立不安”
- 颈椎病|颈椎疼可以治好的,2个妙方,坚持一月,赶走头晕
